Digital Database for Screening Mammography

Volume: benign_without_callback_01 Case: B-3243-1


B_3243_1.RIGHT_MLO

B_3243_1.LEFT_MLO

B_3243_1.RIGHT_CC

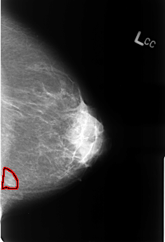
B_3243_1.LEFT_CC

ics_version 1.0
filename B-3243-1
DATE_OF_STUDY 11 8 1998
PATIENT_AGE 58
FILM
FILM_TYPE REGULAR
DENSITY 2
DATE_DIGITIZED 5 10 1998
DIGITIZER LUMISYS LASER
SEQUENCE
LEFT_CC LINES 4560 PIXELS_PER_LINE 3120 BITS_PER_PIXEL 12 RESOLUTION 50 OVERLAY
LEFT_MLO LINES 4528 PIXELS_PER_LINE 3192 BITS_PER_PIXEL 12 RESOLUTION 50 OVERLAY
RIGHT_CC LINES 4528 PIXELS_PER_LINE 3080 BITS_PER_PIXEL 12 RESOLUTION 50 NON_OVERLAY
RIGHT_MLO LINES 4480 PIXELS_PER_LINE 3064 BITS_PER_PIXEL 12 RESOLUTION 50 NON_OVERLAY

FILE: B_3243_1.LEFT_MLO.OVERLAY

TOTAL_ABNORMALITIES 1
ABNORMALITY 1
LESION_TYPE MASS SHAPE ASYMMETRIC_BREAST_TISSUE MARGINS N/A
ASSESSMENT 2
SUBTLETY 5
PATHOLOGY BENIGN_WITHOUT_CALLBACK
TOTAL_OUTLINES 1 
BOUNDARY
FILE: B_3243_1.LEFT_CC.OVERLAY

TOTAL_ABNORMALITIES 1
ABNORMALITY 1
LESION_TYPE MASS SHAPE ASYMMETRIC_BREAST_TISSUE MARGINS N/A
ASSESSMENT 2
SUBTLETY 5
PATHOLOGY BENIGN_WITHOUT_CALLBACK
TOTAL_OUTLINES 1 
BOUNDARY