Digital Database for Screening Mammography

Volume: benign_without_callback_01 Case: B-3247-1


B_3247_1.RIGHT_MLO

B_3247_1.LEFT_MLO

B_3247_1.RIGHT_CC

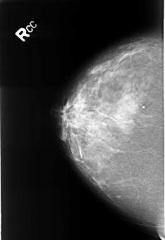
B_3247_1.LEFT_CC

ics_version 1.0
filename B-3247-1
DATE_OF_STUDY 10 8 1998
PATIENT_AGE 51
FILM
FILM_TYPE REGULAR
DENSITY 3
DATE_DIGITIZED 1 10 1998
DIGITIZER LUMISYS LASER
SEQUENCE
LEFT_CC LINES 4592 PIXELS_PER_LINE 3016 BITS_PER_PIXEL 12 RESOLUTION 50 OVERLAY
LEFT_MLO LINES 4560 PIXELS_PER_LINE 3000 BITS_PER_PIXEL 12 RESOLUTION 50 OVERLAY
RIGHT_CC LINES 4424 PIXELS_PER_LINE 3040 BITS_PER_PIXEL 12 RESOLUTION 50 NON_OVERLAY
RIGHT_MLO LINES 4488 PIXELS_PER_LINE 3032 BITS_PER_PIXEL 12 RESOLUTION 50 NON_OVERLAY

FILE: B_3247_1.LEFT_MLO.OVERLAY

TOTAL_ABNORMALITIES 1
ABNORMALITY 1
LESION_TYPE CALCIFICATION TYPE LUCENT_CENTER DISTRIBUTION N/A
ASSESSMENT 2
SUBTLETY 3
PATHOLOGY BENIGN_WITHOUT_CALLBACK
TOTAL_OUTLINES 1 
BOUNDARY
FILE: B_3247_1.LEFT_CC.OVERLAY

TOTAL_ABNORMALITIES 1
ABNORMALITY 1
LESION_TYPE CALCIFICATION TYPE LUCENT_CENTER DISTRIBUTION N/A
ASSESSMENT 2
SUBTLETY 3
PATHOLOGY BENIGN_WITHOUT_CALLBACK
TOTAL_OUTLINES 1 
BOUNDARY