Digital Database for Screening Mammography

Volume: benign_without_callback_02 Case: C-0431-1


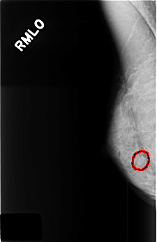
C_0431_1.RIGHT_MLO

C_0431_1.LEFT_MLO

C_0431_1.RIGHT_CC

C_0431_1.LEFT_CC

ics_version 1.0
filename C-0431-1
DATE_OF_STUDY 6 12 1995
PATIENT_AGE 36
FILM
FILM_TYPE REGULAR
DENSITY 4
DATE_DIGITIZED 17 11 1998
DIGITIZER LUMISYS LASER
SEQUENCE
LEFT_CC LINES 4512 PIXELS_PER_LINE 2888 BITS_PER_PIXEL 12 RESOLUTION 50 NON_OVERLAY
LEFT_MLO LINES 4512 PIXELS_PER_LINE 2912 BITS_PER_PIXEL 12 RESOLUTION 50 NON_OVERLAY
RIGHT_CC LINES 4552 PIXELS_PER_LINE 2872 BITS_PER_PIXEL 12 RESOLUTION 50 NON_OVERLAY
RIGHT_MLO LINES 4520 PIXELS_PER_LINE 2920 BITS_PER_PIXEL 12 RESOLUTION 50 OVERLAY

FILE: C_0431_1.RIGHT_MLO.OVERLAY

TOTAL_ABNORMALITIES 1
ABNORMALITY 1
LESION_TYPE MASS SHAPE OVAL MARGINS CIRCUMSCRIBED
ASSESSMENT 3
SUBTLETY 4
PATHOLOGY BENIGN_WITHOUT_CALLBACK
TOTAL_OUTLINES 1 
BOUNDARY