Digital Database for Screening Mammography

Volume: benign_without_callback_02 Case: C-0437-1


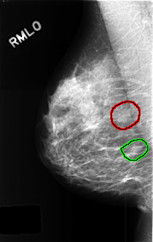
C_0437_1.RIGHT_MLO

C_0437_1.LEFT_MLO

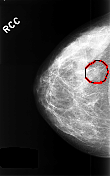
C_0437_1.RIGHT_CC

C_0437_1.LEFT_CC

ics_version 1.0
filename C-0437-1
DATE_OF_STUDY 21 7 1995
PATIENT_AGE 39
FILM
FILM_TYPE REGULAR
DENSITY 2
DATE_DIGITIZED 23 11 1998
DIGITIZER LUMISYS LASER
SEQUENCE
LEFT_CC LINES 4464 PIXELS_PER_LINE 2888 BITS_PER_PIXEL 12 RESOLUTION 50 NON_OVERLAY
LEFT_MLO LINES 4560 PIXELS_PER_LINE 3032 BITS_PER_PIXEL 12 RESOLUTION 50 NON_OVERLAY
RIGHT_CC LINES 4584 PIXELS_PER_LINE 2864 BITS_PER_PIXEL 12 RESOLUTION 50 OVERLAY
RIGHT_MLO LINES 4560 PIXELS_PER_LINE 2880 BITS_PER_PIXEL 12 RESOLUTION 50 OVERLAY

FILE: C_0437_1.RIGHT_MLO.OVERLAY

TOTAL_ABNORMALITIES 2
ABNORMALITY 1
LESION_TYPE MASS SHAPE FOCAL_ASYMMETRIC_DENSITY MARGINS N/A
ASSESSMENT 3
SUBTLETY 3
PATHOLOGY BENIGN_WITHOUT_CALLBACK
TOTAL_OUTLINES 1 
BOUNDARY
ABNORMALITY 2
LESION_TYPE MASS SHAPE FOCAL_ASYMMETRIC_DENSITY MARGINS N/A
ASSESSMENT 3
SUBTLETY 3
PATHOLOGY BENIGN_WITHOUT_CALLBACK
TOTAL_OUTLINES 1 
BOUNDARY
FILE: C_0437_1.RIGHT_CC.OVERLAY

TOTAL_ABNORMALITIES 1
ABNORMALITY 1
LESION_TYPE MASS SHAPE FOCAL_ASYMMETRIC_DENSITY MARGINS N/A
ASSESSMENT 3
SUBTLETY 3
PATHOLOGY BENIGN_WITHOUT_CALLBACK
TOTAL_OUTLINES 1 
BOUNDARY