![]() |
![]() |
![]() |
![]() |
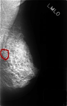
ics_version 1.0 filename C-0440-1 DATE_OF_STUDY 21 7 1995 PATIENT_AGE 48 FILM FILM_TYPE REGULAR DENSITY 3 DATE_DIGITIZED 23 11 1998 DIGITIZER LUMISYS LASER SEQUENCE LEFT_CC LINES 4584 PIXELS_PER_LINE 2912 BITS_PER_PIXEL 12 RESOLUTION 50 NON_OVERLAY LEFT_MLO LINES 4592 PIXELS_PER_LINE 2880 BITS_PER_PIXEL 12 RESOLUTION 50 OVERLAY RIGHT_CC LINES 4552 PIXELS_PER_LINE 2920 BITS_PER_PIXEL 12 RESOLUTION 50 NON_OVERLAY RIGHT_MLO LINES 4584 PIXELS_PER_LINE 2888 BITS_PER_PIXEL 12 RESOLUTION 50 NON_OVERLAY |
FILE: C_0440_1.LEFT_MLO.OVERLAY TOTAL_ABNORMALITIES 1 ABNORMALITY 1 LESION_TYPE MASS SHAPE ROUND MARGINS MICROLOBULATED ASSESSMENT 3 SUBTLETY 3 PATHOLOGY BENIGN_WITHOUT_CALLBACK TOTAL_OUTLINES 1 BOUNDARY |