Digital Database for Screening Mammography

Volume: benign_without_callback_02 Case: C-0441-1


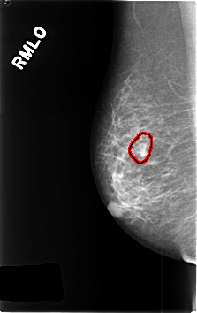
C_0441_1.RIGHT_MLO

C_0441_1.LEFT_MLO

C_0441_1.RIGHT_CC

C_0441_1.LEFT_CC

ics_version 1.0
filename C-0441-1
DATE_OF_STUDY 20 11 1995
PATIENT_AGE 56
FILM
FILM_TYPE REGULAR
DENSITY 1
DATE_DIGITIZED 23 11 1998
DIGITIZER LUMISYS LASER
SEQUENCE
LEFT_CC LINES 4560 PIXELS_PER_LINE 2944 BITS_PER_PIXEL 12 RESOLUTION 50 NON_OVERLAY
LEFT_MLO LINES 4528 PIXELS_PER_LINE 2888 BITS_PER_PIXEL 12 RESOLUTION 50 NON_OVERLAY
RIGHT_CC LINES 4552 PIXELS_PER_LINE 2928 BITS_PER_PIXEL 12 RESOLUTION 50 NON_OVERLAY
RIGHT_MLO LINES 4592 PIXELS_PER_LINE 2896 BITS_PER_PIXEL 12 RESOLUTION 50 OVERLAY

FILE: C_0441_1.RIGHT_MLO.OVERLAY

TOTAL_ABNORMALITIES 1
ABNORMALITY 1
LESION_TYPE MASS SHAPE FOCAL_ASYMMETRIC_DENSITY MARGINS N/A
ASSESSMENT 3
SUBTLETY 5
PATHOLOGY BENIGN_WITHOUT_CALLBACK
TOTAL_OUTLINES 1 
BOUNDARY