Digital Database for Screening Mammography

Volume: benign_without_callback_02 Case: C-0453-1


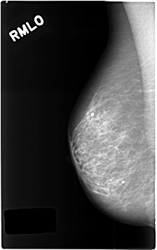
C_0453_1.RIGHT_MLO

C_0453_1.LEFT_MLO

C_0453_1.RIGHT_CC

C_0453_1.LEFT_CC

ics_version 1.0
filename C-0453-1
DATE_OF_STUDY 16 10 1995
PATIENT_AGE 63
FILM
FILM_TYPE REGULAR
DENSITY 2
DATE_DIGITIZED 21 12 1998
DIGITIZER LUMISYS LASER
SEQUENCE
LEFT_CC LINES 4552 PIXELS_PER_LINE 2880 BITS_PER_PIXEL 12 RESOLUTION 50 OVERLAY
LEFT_MLO LINES 4576 PIXELS_PER_LINE 2888 BITS_PER_PIXEL 12 RESOLUTION 50 OVERLAY
RIGHT_CC LINES 4624 PIXELS_PER_LINE 2920 BITS_PER_PIXEL 12 RESOLUTION 50 NON_OVERLAY
RIGHT_MLO LINES 4632 PIXELS_PER_LINE 2904 BITS_PER_PIXEL 12 RESOLUTION 50 NON_OVERLAY

FILE: C_0453_1.LEFT_MLO.OVERLAY

TOTAL_ABNORMALITIES 1
ABNORMALITY 1
LESION_TYPE MASS SHAPE OVAL MARGINS ILL_DEFINED
ASSESSMENT 4
SUBTLETY 5
PATHOLOGY BENIGN_WITHOUT_CALLBACK
TOTAL_OUTLINES 1 
BOUNDARY
FILE: C_0453_1.LEFT_CC.OVERLAY

TOTAL_ABNORMALITIES 1
ABNORMALITY 1
LESION_TYPE MASS SHAPE OVAL MARGINS SPICULATED
ASSESSMENT 4
SUBTLETY 4
PATHOLOGY BENIGN_WITHOUT_CALLBACK
TOTAL_OUTLINES 1 
BOUNDARY