Digital Database for Screening Mammography

Volume: benign_01 Case: C-0240-1


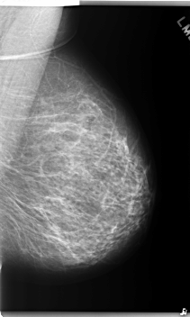
C_0240_1.RIGHT_MLO

C_0240_1.LEFT_MLO

C_0240_1.RIGHT_CC

C_0240_1.LEFT_CC

ics_version 1.0
filename C-0240-1
DATE_OF_STUDY 17 11 1995
PATIENT_AGE 40
FILM
FILM_TYPE REGULAR
DENSITY 2
DATE_DIGITIZED 28 4 1998
DIGITIZER LUMISYS LASER
SEQUENCE
LEFT_CC LINES 5984 PIXELS_PER_LINE 3752 BITS_PER_PIXEL 12 RESOLUTION 50 NON_OVERLAY
LEFT_MLO LINES 5976 PIXELS_PER_LINE 3584 BITS_PER_PIXEL 12 RESOLUTION 50 NON_OVERLAY
RIGHT_CC LINES 5896 PIXELS_PER_LINE 3800 BITS_PER_PIXEL 12 RESOLUTION 50 OVERLAY
RIGHT_MLO LINES 5904 PIXELS_PER_LINE 3760 BITS_PER_PIXEL 12 RESOLUTION 50 OVERLAY

FILE: C_0240_1.RIGHT_MLO.OVERLAY

TOTAL_ABNORMALITIES 1
ABNORMALITY 1
LESION_TYPE MASS SHAPE OVAL MARGINS CIRCUMSCRIBED
ASSESSMENT 4
SUBTLETY 4
PATHOLOGY BENIGN
TOTAL_OUTLINES 1 
BOUNDARY
FILE: C_0240_1.RIGHT_CC.OVERLAY

TOTAL_ABNORMALITIES 1
ABNORMALITY 1
LESION_TYPE MASS SHAPE OVAL MARGINS ILL_DEFINED
ASSESSMENT 4
SUBTLETY 3
PATHOLOGY BENIGN
TOTAL_OUTLINES 1 
BOUNDARY