Digital Database for Screening Mammography

Volume: benign_01 Case: C-0242-1


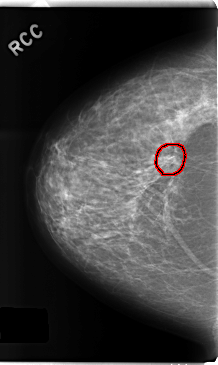
C_0242_1.RIGHT_MLO

C_0242_1.LEFT_MLO

C_0242_1.RIGHT_CC

C_0242_1.LEFT_CC

ics_version 1.0
filename C-0242-1
DATE_OF_STUDY 23 3 1995
PATIENT_AGE 46
FILM
FILM_TYPE REGULAR
DENSITY 2
DATE_DIGITIZED 28 4 1998
DIGITIZER LUMISYS LASER
SEQUENCE
LEFT_CC LINES 4736 PIXELS_PER_LINE 2944 BITS_PER_PIXEL 12 RESOLUTION 50 NON_OVERLAY
LEFT_MLO LINES 4768 PIXELS_PER_LINE 2928 BITS_PER_PIXEL 12 RESOLUTION 50 NON_OVERLAY
RIGHT_CC LINES 4736 PIXELS_PER_LINE 2824 BITS_PER_PIXEL 12 RESOLUTION 50 OVERLAY
RIGHT_MLO LINES 4680 PIXELS_PER_LINE 2744 BITS_PER_PIXEL 12 RESOLUTION 50 OVERLAY

FILE: C_0242_1.RIGHT_MLO.OVERLAY

TOTAL_ABNORMALITIES 1
ABNORMALITY 1
LESION_TYPE CALCIFICATION TYPE PLEOMORPHIC DISTRIBUTION CLUSTERED
ASSESSMENT 4
SUBTLETY 5
PATHOLOGY BENIGN
TOTAL_OUTLINES 1 
BOUNDARY
FILE: C_0242_1.RIGHT_CC.OVERLAY

TOTAL_ABNORMALITIES 1
ABNORMALITY 1
LESION_TYPE CALCIFICATION TYPE PLEOMORPHIC DISTRIBUTION CLUSTERED
LESION_TYPE MASS SHAPE ARCHITECTURAL_DISTORTION MARGINS SPICULATED
ASSESSMENT 4
SUBTLETY 5
PATHOLOGY BENIGN
TOTAL_OUTLINES 1 
BOUNDARY