Digital Database for Screening Mammography

Volume: benign_01 Case: C-0243-1


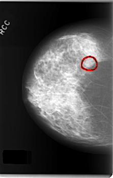
C_0243_1.RIGHT_MLO

C_0243_1.LEFT_MLO

C_0243_1.RIGHT_CC

C_0243_1.LEFT_CC

ics_version 1.0
filename C-0243-1
DATE_OF_STUDY 2 10 1995
PATIENT_AGE 68
FILM
FILM_TYPE REGULAR
DENSITY 3
DATE_DIGITIZED 28 4 1998
DIGITIZER LUMISYS LASER
SEQUENCE
LEFT_CC LINES 5944 PIXELS_PER_LINE 3568 BITS_PER_PIXEL 12 RESOLUTION 50 NON_OVERLAY
LEFT_MLO LINES 5880 PIXELS_PER_LINE 3816 BITS_PER_PIXEL 12 RESOLUTION 50 NON_OVERLAY
RIGHT_CC LINES 5920 PIXELS_PER_LINE 3768 BITS_PER_PIXEL 12 RESOLUTION 50 OVERLAY
RIGHT_MLO LINES 5976 PIXELS_PER_LINE 3808 BITS_PER_PIXEL 12 RESOLUTION 50 OVERLAY

FILE: C_0243_1.RIGHT_MLO.OVERLAY

TOTAL_ABNORMALITIES 1
ABNORMALITY 1
LESION_TYPE MASS SHAPE OVAL MARGINS MICROLOBULATED
ASSESSMENT 4
SUBTLETY 2
PATHOLOGY BENIGN
TOTAL_OUTLINES 1 
BOUNDARY
FILE: C_0243_1.RIGHT_CC.OVERLAY

TOTAL_ABNORMALITIES 1
ABNORMALITY 1
LESION_TYPE MASS SHAPE OVAL MARGINS CIRCUMSCRIBED
ASSESSMENT 4
SUBTLETY 5
PATHOLOGY BENIGN
TOTAL_OUTLINES 1 
BOUNDARY