Digital Database for Screening Mammography

Volume: benign_01 Case: B-3113-1


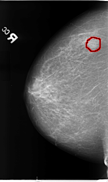
B_3113_1.RIGHT_MLO

B_3113_1.LEFT_MLO

B_3113_1.RIGHT_CC

B_3113_1.LEFT_CC

ics_version 1.0
filename B-3113-1
DATE_OF_STUDY 25 6 1996
PATIENT_AGE 74
FILM
FILM_TYPE REGULAR
DENSITY 3
DATE_DIGITIZED 22 1 1998
DIGITIZER LUMISYS LASER
SEQUENCE
LEFT_CC LINES 4752 PIXELS_PER_LINE 2880 BITS_PER_PIXEL 12 RESOLUTION 50 NON_OVERLAY
LEFT_MLO LINES 4712 PIXELS_PER_LINE 2984 BITS_PER_PIXEL 12 RESOLUTION 50 NON_OVERLAY
RIGHT_CC LINES 4640 PIXELS_PER_LINE 2752 BITS_PER_PIXEL 12 RESOLUTION 50 OVERLAY
RIGHT_MLO LINES 4696 PIXELS_PER_LINE 2792 BITS_PER_PIXEL 12 RESOLUTION 50 OVERLAY

FILE: B_3113_1.RIGHT_MLO.OVERLAY

TOTAL_ABNORMALITIES 1
ABNORMALITY 1
LESION_TYPE MASS SHAPE ROUND MARGINS CIRCUMSCRIBED-ILL_DEFINED
ASSESSMENT 4
SUBTLETY 4
PATHOLOGY BENIGN
TOTAL_OUTLINES 1 
BOUNDARY
FILE: B_3113_1.RIGHT_CC.OVERLAY

TOTAL_ABNORMALITIES 1
ABNORMALITY 1
LESION_TYPE MASS SHAPE ROUND MARGINS CIRCUMSCRIBED
ASSESSMENT 3
SUBTLETY 4
PATHOLOGY BENIGN
TOTAL_OUTLINES 1 
BOUNDARY