Digital Database for Screening Mammography

Volume: benign_01 Case: B-3117-1


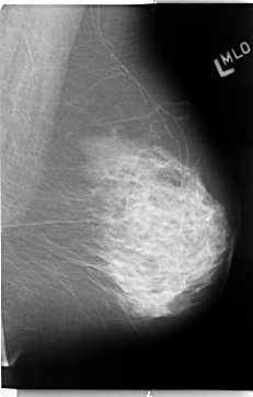
B_3117_1.RIGHT_MLO

B_3117_1.LEFT_MLO

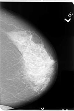
B_3117_1.RIGHT_CC

B_3117_1.LEFT_CC

ics_version 1.0
filename B-3117-1
DATE_OF_STUDY 5 6 1996
PATIENT_AGE 64
FILM
FILM_TYPE REGULAR
DENSITY 3
DATE_DIGITIZED 22 1 1998
DIGITIZER LUMISYS LASER
SEQUENCE
LEFT_CC LINES 4728 PIXELS_PER_LINE 3144 BITS_PER_PIXEL 12 RESOLUTION 50 NON_OVERLAY
LEFT_MLO LINES 4704 PIXELS_PER_LINE 2992 BITS_PER_PIXEL 12 RESOLUTION 50 NON_OVERLAY
RIGHT_CC LINES 4760 PIXELS_PER_LINE 3088 BITS_PER_PIXEL 12 RESOLUTION 50 OVERLAY
RIGHT_MLO LINES 4784 PIXELS_PER_LINE 3016 BITS_PER_PIXEL 12 RESOLUTION 50 OVERLAY

FILE: B_3117_1.RIGHT_MLO.OVERLAY

TOTAL_ABNORMALITIES 1
ABNORMALITY 1
LESION_TYPE CALCIFICATION TYPE PLEOMORPHIC DISTRIBUTION CLUSTERED
ASSESSMENT 4
SUBTLETY 3
PATHOLOGY BENIGN
TOTAL_OUTLINES 1 
BOUNDARY
FILE: B_3117_1.RIGHT_CC.OVERLAY

TOTAL_ABNORMALITIES 1
ABNORMALITY 1
LESION_TYPE CALCIFICATION TYPE PLEOMORPHIC DISTRIBUTION CLUSTERED
ASSESSMENT 4
SUBTLETY 3
PATHOLOGY BENIGN
TOTAL_OUTLINES 1 
BOUNDARY