Digital Database for Screening Mammography

Volume: benign_01 Case: B-3131-1


B_3131_1.RIGHT_MLO

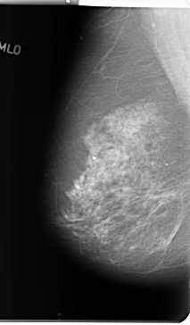
B_3131_1.LEFT_MLO

B_3131_1.RIGHT_CC

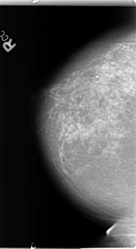
B_3131_1.LEFT_CC

ics_version 1.0
filename B-3131-1
DATE_OF_STUDY 11 2 1997
PATIENT_AGE 78
FILM
FILM_TYPE REGULAR
DENSITY 2
DATE_DIGITIZED 4 3 1998
DIGITIZER LUMISYS LASER
SEQUENCE
LEFT_CC LINES 4712 PIXELS_PER_LINE 2632 BITS_PER_PIXEL 12 RESOLUTION 50 OVERLAY
LEFT_MLO LINES 4672 PIXELS_PER_LINE 2768 BITS_PER_PIXEL 12 RESOLUTION 50 OVERLAY
RIGHT_CC LINES 4704 PIXELS_PER_LINE 2568 BITS_PER_PIXEL 12 RESOLUTION 50 NON_OVERLAY
RIGHT_MLO LINES 4720 PIXELS_PER_LINE 2768 BITS_PER_PIXEL 12 RESOLUTION 50 NON_OVERLAY

FILE: B_3131_1.LEFT_MLO.OVERLAY

TOTAL_ABNORMALITIES 1
ABNORMALITY 1
LESION_TYPE CALCIFICATION TYPE PLEOMORPHIC DISTRIBUTION CLUSTERED
ASSESSMENT 4
SUBTLETY 3
PATHOLOGY BENIGN
TOTAL_OUTLINES 1 
BOUNDARY
FILE: B_3131_1.LEFT_CC.OVERLAY

TOTAL_ABNORMALITIES 1
ABNORMALITY 1
LESION_TYPE CALCIFICATION TYPE PLEOMORPHIC DISTRIBUTION CLUSTERED
ASSESSMENT 4
SUBTLETY 3
PATHOLOGY BENIGN
TOTAL_OUTLINES 1 
BOUNDARY