![]() |
![]() |
![]() |
![]() |
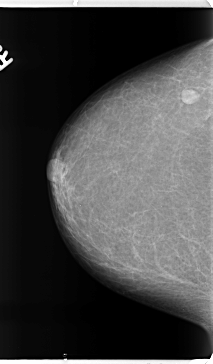
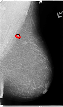
ics_version 1.0 filename B-3153-1 DATE_OF_STUDY 13 5 1998 PATIENT_AGE 69 FILM FILM_TYPE REGULAR DENSITY 1 DATE_DIGITIZED 21 4 1998 DIGITIZER LUMISYS LASER SEQUENCE LEFT_CC LINES 4688 PIXELS_PER_LINE 2720 BITS_PER_PIXEL 12 RESOLUTION 50 OVERLAY LEFT_MLO LINES 4688 PIXELS_PER_LINE 2776 BITS_PER_PIXEL 12 RESOLUTION 50 OVERLAY RIGHT_CC LINES 4728 PIXELS_PER_LINE 2760 BITS_PER_PIXEL 12 RESOLUTION 50 NON_OVERLAY RIGHT_MLO LINES 4736 PIXELS_PER_LINE 2872 BITS_PER_PIXEL 12 RESOLUTION 50 NON_OVERLAY |
FILE: B_3153_1.LEFT_MLO.OVERLAY TOTAL_ABNORMALITIES 1 ABNORMALITY 1 LESION_TYPE MASS SHAPE IRREGULAR MARGINS ILL_DEFINED-SPICULATED ASSESSMENT 4 SUBTLETY 3 PATHOLOGY BENIGN TOTAL_OUTLINES 1 BOUNDARY |
FILE: B_3153_1.LEFT_CC.OVERLAY TOTAL_ABNORMALITIES 1 ABNORMALITY 1 LESION_TYPE MASS SHAPE IRREGULAR MARGINS ILL_DEFINED ASSESSMENT 4 SUBTLETY 4 PATHOLOGY BENIGN TOTAL_OUTLINES 1 BOUNDARY |