Digital Database for Screening Mammography

Volume: benign_01 Case: B-3165-1


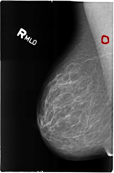
B_3165_1.RIGHT_MLO

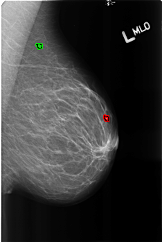
B_3165_1.LEFT_MLO

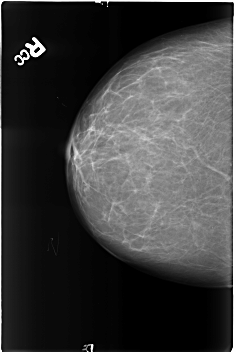
B_3165_1.RIGHT_CC

B_3165_1.LEFT_CC

ics_version 1.0
filename B-3165-1
DATE_OF_STUDY 8 6 1998
PATIENT_AGE 40
FILM
FILM_TYPE REGULAR
DENSITY 1
DATE_DIGITIZED 15 7 1998
DIGITIZER LUMISYS LASER
SEQUENCE
LEFT_CC LINES 4552 PIXELS_PER_LINE 3016 BITS_PER_PIXEL 12 RESOLUTION 50 OVERLAY
LEFT_MLO LINES 4528 PIXELS_PER_LINE 3032 BITS_PER_PIXEL 12 RESOLUTION 50 OVERLAY
RIGHT_CC LINES 4568 PIXELS_PER_LINE 3064 BITS_PER_PIXEL 12 RESOLUTION 50 NON_OVERLAY
RIGHT_MLO LINES 4624 PIXELS_PER_LINE 3032 BITS_PER_PIXEL 12 RESOLUTION 50 OVERLAY

FILE: B_3165_1.LEFT_MLO.OVERLAY

TOTAL_ABNORMALITIES 2
ABNORMALITY 1
LESION_TYPE CALCIFICATION TYPE LUCENT_CENTERED DISTRIBUTION N/A
ASSESSMENT 2
SUBTLETY 4
PATHOLOGY BENIGN
TOTAL_OUTLINES 1 
BOUNDARY
ABNORMALITY 2
LESION_TYPE CALCIFICATION TYPE LUCENT_CENTERED DISTRIBUTION N/A
ASSESSMENT 2
SUBTLETY 4
PATHOLOGY BENIGN
TOTAL_OUTLINES 1 
BOUNDARY
FILE: B_3165_1.RIGHT_MLO.OVERLAY

TOTAL_ABNORMALITIES 1
ABNORMALITY 1
LESION_TYPE CALCIFICATION TYPE LUCENT_CENTERED DISTRIBUTION N/A
ASSESSMENT 2
SUBTLETY 3
PATHOLOGY BENIGN
TOTAL_OUTLINES 1 
BOUNDARY
FILE: B_3165_1.LEFT_CC.OVERLAY

TOTAL_ABNORMALITIES 2
ABNORMALITY 1
LESION_TYPE CALCIFICATION TYPE LUCENT_CENTERED DISTRIBUTION N/A
ASSESSMENT 2
SUBTLETY 4
PATHOLOGY BENIGN
TOTAL_OUTLINES 1 
BOUNDARY
ABNORMALITY 2
LESION_TYPE CALCIFICATION TYPE LUCENT_CENTERED DISTRIBUTION N/A
ASSESSMENT 2
SUBTLETY 4
PATHOLOGY BENIGN
TOTAL_OUTLINES 1 
BOUNDARY