Digital Database for Screening Mammography

Volume: benign_02 Case: A-1177-1


A_1177_1.LEFT_MLO

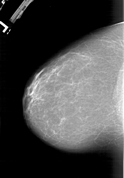
A_1177_1.RIGHT_MLO

A_1177_1.LEFT_CC

A_1177_1.RIGHT_CC

ics_version 1.0
filename A-1177-1
DATE_OF_STUDY 16 2 1996
PATIENT_AGE 47
FILM
FILM_TYPE REGULAR
DENSITY 1
DATE_DIGITIZED 6 7 1998
DIGITIZER HOWTEK 43.5
SEQUENCE
LEFT_CC LINES 6151 PIXELS_PER_LINE 4261 BITS_PER_PIXEL 12 RESOLUTION 43.5 NON_OVERLAY
LEFT_MLO LINES 6871 PIXELS_PER_LINE 4126 BITS_PER_PIXEL 12 RESOLUTION 43.5 NON_OVERLAY
RIGHT_CC LINES 5881 PIXELS_PER_LINE 4156 BITS_PER_PIXEL 12 RESOLUTION 43.5 OVERLAY
RIGHT_MLO LINES 6376 PIXELS_PER_LINE 4111 BITS_PER_PIXEL 12 RESOLUTION 43.5 OVERLAY

FILE: A_1177_1.RIGHT_MLO.OVERLAY

TOTAL_ABNORMALITIES 1
ABNORMALITY 1 
LESION_TYPE MASS SHAPE LOBULATED MARGINS OBSCURED
ASSESSMENT 3 
SUBTLETY 4 
PATHOLOGY BENIGN
TOTAL_OUTLINES 1 
BOUNDARY
FILE: A_1177_1.RIGHT_CC.OVERLAY

TOTAL_ABNORMALITIES 1
ABNORMALITY 1 
LESION_TYPE MASS SHAPE LOBULATED MARGINS OBSCURED
ASSESSMENT 3 
SUBTLETY 4 
PATHOLOGY BENIGN
TOTAL_OUTLINES 1 
BOUNDARY