Digital Database for Screening Mammography

Volume: benign_02 Case: A-1276-1


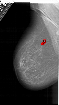
A_1276_1.LEFT_MLO

A_1276_1.RIGHT_MLO

A_1276_1.LEFT_CC

A_1276_1.RIGHT_CC

ics_version 1.0
filename A-1276-1
DATE_OF_STUDY 28 2 1994
PATIENT_AGE 80
FILM
FILM_TYPE REGULAR
DENSITY 3
DATE_DIGITIZED 13 7 1998
DIGITIZER HOWTEK 43.5
SEQUENCE
LEFT_CC LINES 5746 PIXELS_PER_LINE 3541 BITS_PER_PIXEL 12 RESOLUTION 43.5 OVERLAY
LEFT_MLO LINES 6301 PIXELS_PER_LINE 3541 BITS_PER_PIXEL 12 RESOLUTION 43.5 OVERLAY
RIGHT_CC LINES 5461 PIXELS_PER_LINE 3106 BITS_PER_PIXEL 12 RESOLUTION 43.5 NON_OVERLAY
RIGHT_MLO LINES 5716 PIXELS_PER_LINE 3226 BITS_PER_PIXEL 12 RESOLUTION 43.5 NON_OVERLAY

FILE: A_1276_1.LEFT_MLO.OVERLAY

TOTAL_ABNORMALITIES 1
ABNORMALITY 1 
LESION_TYPE CALCIFICATION TYPE PLEOMORPHIC DISTRIBUTION CLUSTERED
ASSESSMENT 4 
SUBTLETY 4 
PATHOLOGY BENIGN
TOTAL_OUTLINES 1 
BOUNDARY
FILE: A_1276_1.LEFT_CC.OVERLAY

TOTAL_ABNORMALITIES 1
ABNORMALITY 1 
LESION_TYPE CALCIFICATION TYPE PLEOMORPHIC DISTRIBUTION CLUSTERED
ASSESSMENT 4 
SUBTLETY 4 
PATHOLOGY BENIGN
TOTAL_OUTLINES 1 
BOUNDARY