Digital Database for Screening Mammography

Volume: benign_02 Case: A-1281-1


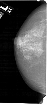
A_1281_1.LEFT_MLO

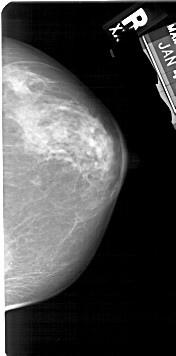
A_1281_1.RIGHT_MLO

A_1281_1.LEFT_CC

A_1281_1.RIGHT_CC

ics_version 1.0
filename A-1281-1
DATE_OF_STUDY 4 1 1994
PATIENT_AGE 49
FILM
FILM_TYPE REGULAR
DENSITY 4
DATE_DIGITIZED 15 7 1998
DIGITIZER HOWTEK 43.5
SEQUENCE
LEFT_CC LINES 5491 PIXELS_PER_LINE 2461 BITS_PER_PIXEL 12 RESOLUTION 43.5 NON_OVERLAY
LEFT_MLO LINES 5476 PIXELS_PER_LINE 2866 BITS_PER_PIXEL 12 RESOLUTION 43.5 OVERLAY
RIGHT_CC LINES 5326 PIXELS_PER_LINE 2626 BITS_PER_PIXEL 12 RESOLUTION 43.5 NON_OVERLAY
RIGHT_MLO LINES 5251 PIXELS_PER_LINE 3061 BITS_PER_PIXEL 12 RESOLUTION 43.5 NON_OVERLAY

FILE: A_1281_1.LEFT_MLO.OVERLAY

TOTAL_ABNORMALITIES 1
ABNORMALITY 1 
LESION_TYPE CALCIFICATION TYPE PLEOMORPHIC DISTRIBUTION CLUSTERED
ASSESSMENT 4 
SUBTLETY 4 
PATHOLOGY BENIGN
TOTAL_OUTLINES 1 
BOUNDARY