![]() |
![]() |
![]() |
![]() |
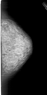
ics_version 1.0 filename A-1282-1 DATE_OF_STUDY 7 8 1995 PATIENT_AGE 54 FILM FILM_TYPE REGULAR DENSITY 4 DATE_DIGITIZED 7 7 1998 DIGITIZER HOWTEK 43.5 SEQUENCE LEFT_CC LINES 5266 PIXELS_PER_LINE 2761 BITS_PER_PIXEL 12 RESOLUTION 43.5 OVERLAY LEFT_MLO LINES 5491 PIXELS_PER_LINE 2971 BITS_PER_PIXEL 12 RESOLUTION 43.5 OVERLAY RIGHT_CC LINES 4951 PIXELS_PER_LINE 2461 BITS_PER_PIXEL 12 RESOLUTION 43.5 NON_OVERLAY RIGHT_MLO LINES 5446 PIXELS_PER_LINE 2776 BITS_PER_PIXEL 12 RESOLUTION 43.5 NON_OVERLAY |
FILE: A_1282_1.LEFT_MLO.OVERLAY TOTAL_ABNORMALITIES 1 ABNORMALITY 1 LESION_TYPE MASS SHAPE ARCHITECTURAL_DISTORTION MARGINS SPICULATED ASSESSMENT 4 SUBTLETY 1 PATHOLOGY BENIGN TOTAL_OUTLINES 2 BOUNDARY CORE |
FILE: A_1282_1.LEFT_CC.OVERLAY TOTAL_ABNORMALITIES 1 ABNORMALITY 1 LESION_TYPE MASS SHAPE ARCHITECTURAL_DISTORTION MARGINS SPICULATED ASSESSMENT 4 SUBTLETY 1 PATHOLOGY BENIGN TOTAL_OUTLINES 1 BOUNDARY |