Digital Database for Screening Mammography

Volume: benign_02 Case: A-1284-1


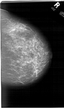
A_1284_1.LEFT_MLO

A_1284_1.RIGHT_MLO

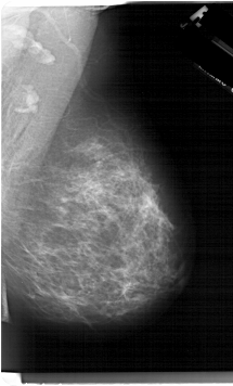
A_1284_1.LEFT_CC

A_1284_1.RIGHT_CC

ics_version 1.0
filename A-1284-1
DATE_OF_STUDY 12 3 1996
PATIENT_AGE 41
FILM
FILM_TYPE REGULAR
DENSITY 3
DATE_DIGITIZED 6 7 1998
DIGITIZER HOWTEK 43.5
SEQUENCE
LEFT_CC LINES 6466 PIXELS_PER_LINE 4066 BITS_PER_PIXEL 12 RESOLUTION 43.5 OVERLAY
LEFT_MLO LINES 6616 PIXELS_PER_LINE 4096 BITS_PER_PIXEL 12 RESOLUTION 43.5 OVERLAY
RIGHT_CC LINES 6571 PIXELS_PER_LINE 3916 BITS_PER_PIXEL 12 RESOLUTION 43.5 NON_OVERLAY
RIGHT_MLO LINES 6751 PIXELS_PER_LINE 4081 BITS_PER_PIXEL 12 RESOLUTION 43.5 NON_OVERLAY

FILE: A_1284_1.LEFT_MLO.OVERLAY

TOTAL_ABNORMALITIES 1
ABNORMALITY 1 
LESION_TYPE MASS SHAPE OVAL MARGINS OBSCURED
ASSESSMENT 4 
SUBTLETY 3 
PATHOLOGY BENIGN
TOTAL_OUTLINES 1 
BOUNDARY
FILE: A_1284_1.LEFT_CC.OVERLAY

TOTAL_ABNORMALITIES 1
ABNORMALITY 1 
LESION_TYPE MASS SHAPE OVAL MARGINS OBSCURED
ASSESSMENT 4 
SUBTLETY 3 
PATHOLOGY BENIGN
TOTAL_OUTLINES 1 
BOUNDARY