Digital Database for Screening Mammography

Volume: benign_02 Case: A-1303-1


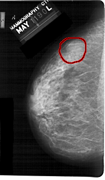
A_1303_1.LEFT_MLO

A_1303_1.RIGHT_MLO

A_1303_1.LEFT_CC

A_1303_1.RIGHT_CC

ics_version 1.0
filename A-1303-1
DATE_OF_STUDY 11 5 1990
PATIENT_AGE 34
FILM
FILM_TYPE REGULAR
DENSITY 4
DATE_DIGITIZED 19 8 1998
DIGITIZER HOWTEK 43.5
SEQUENCE
LEFT_CC LINES 5491 PIXELS_PER_LINE 3211 BITS_PER_PIXEL 12 RESOLUTION 43.5 OVERLAY
LEFT_MLO LINES 5491 PIXELS_PER_LINE 3466 BITS_PER_PIXEL 12 RESOLUTION 43.5 OVERLAY
RIGHT_CC LINES 5386 PIXELS_PER_LINE 3076 BITS_PER_PIXEL 12 RESOLUTION 43.5 NON_OVERLAY
RIGHT_MLO LINES 5491 PIXELS_PER_LINE 3421 BITS_PER_PIXEL 12 RESOLUTION 43.5 NON_OVERLAY

FILE: A_1303_1.LEFT_MLO.OVERLAY

TOTAL_ABNORMALITIES 1
ABNORMALITY 1 
LESION_TYPE MASS SHAPE OVAL MARGINS ILL_DEFINED
ASSESSMENT 4 
SUBTLETY 4 
PATHOLOGY BENIGN
TOTAL_OUTLINES 1 
BOUNDARY
FILE: A_1303_1.LEFT_CC.OVERLAY

TOTAL_ABNORMALITIES 1
ABNORMALITY 1 
LESION_TYPE MASS SHAPE OVAL MARGINS ILL_DEFINED
ASSESSMENT 4 
SUBTLETY 4 
PATHOLOGY BENIGN
TOTAL_OUTLINES 1 
BOUNDARY