Digital Database for Screening Mammography

Volume: benign_02 Case: A-1345-1


A_1345_1.LEFT_MLO

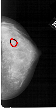
A_1345_1.RIGHT_MLO

A_1345_1.LEFT_CC

A_1345_1.RIGHT_CC

ics_version 1.0
filename A-1345-1
DATE_OF_STUDY 23 6 1992
PATIENT_AGE 40
FILM
FILM_TYPE REGULAR
DENSITY 4
DATE_DIGITIZED 24 8 1998
DIGITIZER HOWTEK 43.5
SEQUENCE
LEFT_CC LINES 5176 PIXELS_PER_LINE 2521 BITS_PER_PIXEL 12 RESOLUTION 43.5 NON_OVERLAY
LEFT_MLO LINES 4846 PIXELS_PER_LINE 2356 BITS_PER_PIXEL 12 RESOLUTION 43.5 NON_OVERLAY
RIGHT_CC LINES 5041 PIXELS_PER_LINE 2566 BITS_PER_PIXEL 12 RESOLUTION 43.5 OVERLAY
RIGHT_MLO LINES 5341 PIXELS_PER_LINE 2716 BITS_PER_PIXEL 12 RESOLUTION 43.5 OVERLAY

FILE: A_1345_1.RIGHT_MLO.OVERLAY

TOTAL_ABNORMALITIES 1
ABNORMALITY 1 
LESION_TYPE CALCIFICATION TYPE PLEOMORPHIC DISTRIBUTION CLUSTERED
ASSESSMENT 4 
SUBTLETY 4 
PATHOLOGY BENIGN
TOTAL_OUTLINES 1 
BOUNDARY
FILE: A_1345_1.RIGHT_CC.OVERLAY

TOTAL_ABNORMALITIES 1
ABNORMALITY 1 
LESION_TYPE CALCIFICATION TYPE PLEOMORPHIC DISTRIBUTION CLUSTERED
ASSESSMENT 4 
SUBTLETY 4 
PATHOLOGY BENIGN
TOTAL_OUTLINES 1 
BOUNDARY