Digital Database for Screening Mammography

Volume: benign_02 Case: A-1346-1


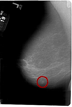
A_1346_1.LEFT_MLO

A_1346_1.RIGHT_MLO

A_1346_1.LEFT_CC

A_1346_1.RIGHT_CC

ics_version 1.0
filename A-1346-1
DATE_OF_STUDY 1 2 1996
PATIENT_AGE 50
FILM
FILM_TYPE REGULAR
DENSITY 2
DATE_DIGITIZED 24 8 1998
DIGITIZER HOWTEK 43.5
SEQUENCE
LEFT_CC LINES 5476 PIXELS_PER_LINE 3166 BITS_PER_PIXEL 12 RESOLUTION 43.5 OVERLAY
LEFT_MLO LINES 5476 PIXELS_PER_LINE 3676 BITS_PER_PIXEL 12 RESOLUTION 43.5 OVERLAY
RIGHT_CC LINES 5491 PIXELS_PER_LINE 3316 BITS_PER_PIXEL 12 RESOLUTION 43.5 NON_OVERLAY
RIGHT_MLO LINES 5491 PIXELS_PER_LINE 3586 BITS_PER_PIXEL 12 RESOLUTION 43.5 NON_OVERLAY

FILE: A_1346_1.LEFT_MLO.OVERLAY

TOTAL_ABNORMALITIES 1
ABNORMALITY 1 
LESION_TYPE MASS SHAPE OVAL MARGINS ILL_DEFINED
ASSESSMENT 4 
SUBTLETY 4 
PATHOLOGY BENIGN
TOTAL_OUTLINES 1 
BOUNDARY
FILE: A_1346_1.LEFT_CC.OVERLAY

TOTAL_ABNORMALITIES 1
ABNORMALITY 1 
LESION_TYPE MASS SHAPE OVAL MARGINS ILL_DEFINED
ASSESSMENT 4 
SUBTLETY 4 
PATHOLOGY BENIGN
TOTAL_OUTLINES 1 
BOUNDARY