Digital Database for Screening Mammography

Volume: benign_02 Case: A-1352-1


A_1352_1.LEFT_MLO

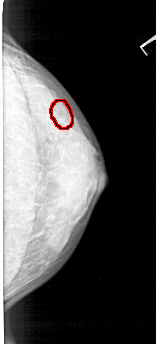
A_1352_1.RIGHT_MLO

A_1352_1.LEFT_CC

A_1352_1.RIGHT_CC

ics_version 1.0
filename A-1352-1
DATE_OF_STUDY 18 8 1995
PATIENT_AGE 44
FILM
FILM_TYPE REGULAR
DENSITY 4
DATE_DIGITIZED 24 8 1998
DIGITIZER HOWTEK 43.5
SEQUENCE
LEFT_CC LINES 4711 PIXELS_PER_LINE 2236 BITS_PER_PIXEL 12 RESOLUTION 43.5 NON_OVERLAY
LEFT_MLO LINES 5296 PIXELS_PER_LINE 2266 BITS_PER_PIXEL 12 RESOLUTION 43.5 NON_OVERLAY
RIGHT_CC LINES 4816 PIXELS_PER_LINE 2176 BITS_PER_PIXEL 12 RESOLUTION 43.5 OVERLAY
RIGHT_MLO LINES 5161 PIXELS_PER_LINE 2146 BITS_PER_PIXEL 12 RESOLUTION 43.5 OVERLAY

FILE: A_1352_1.RIGHT_MLO.OVERLAY

TOTAL_ABNORMALITIES 1
ABNORMALITY 1 
LESION_TYPE CALCIFICATION TYPE PLEOMORPHIC DISTRIBUTION CLUSTERED
ASSESSMENT 4 
SUBTLETY 2 
PATHOLOGY BENIGN
TOTAL_OUTLINES 1 
BOUNDARY
FILE: A_1352_1.RIGHT_CC.OVERLAY

TOTAL_ABNORMALITIES 1
ABNORMALITY 1 
LESION_TYPE CALCIFICATION TYPE PLEOMORPHIC DISTRIBUTION CLUSTERED
ASSESSMENT 4 
SUBTLETY 2 
PATHOLOGY BENIGN
TOTAL_OUTLINES 1 
BOUNDARY