Digital Database for Screening Mammography

Volume: benign_03 Case: A-1364-1


A_1364_1.LEFT_MLO

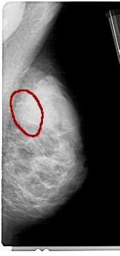
A_1364_1.RIGHT_MLO

A_1364_1.LEFT_CC

A_1364_1.RIGHT_CC

ics_version 1.0
filename A-1364-1
DATE_OF_STUDY 7 12 1990
PATIENT_AGE 42
FILM
FILM_TYPE REGULAR
DENSITY 4
DATE_DIGITIZED 26 8 1998
DIGITIZER HOWTEK 43.5
SEQUENCE
LEFT_CC LINES 4756 PIXELS_PER_LINE 2386 BITS_PER_PIXEL 12 RESOLUTION 43.5 NON_OVERLAY
LEFT_MLO LINES 5491 PIXELS_PER_LINE 2686 BITS_PER_PIXEL 12 RESOLUTION 43.5 NON_OVERLAY
RIGHT_CC LINES 5041 PIXELS_PER_LINE 2371 BITS_PER_PIXEL 12 RESOLUTION 43.5 OVERLAY
RIGHT_MLO LINES 5491 PIXELS_PER_LINE 2581 BITS_PER_PIXEL 12 RESOLUTION 43.5 OVERLAY

FILE: A_1364_1.RIGHT_MLO.OVERLAY

TOTAL_ABNORMALITIES 1
ABNORMALITY 1 
LESION_TYPE CALCIFICATION TYPE AMORPHOUS DISTRIBUTION SEGMENTAL
ASSESSMENT 4 
SUBTLETY 3 
PATHOLOGY BENIGN
TOTAL_OUTLINES 1 
BOUNDARY
FILE: A_1364_1.RIGHT_CC.OVERLAY

TOTAL_ABNORMALITIES 1
ABNORMALITY 1 
LESION_TYPE CALCIFICATION TYPE AMORPHOUS DISTRIBUTION SEGMENTAL
ASSESSMENT 4 
SUBTLETY 3 
PATHOLOGY BENIGN
TOTAL_OUTLINES 1 
BOUNDARY