Digital Database for Screening Mammography

Volume: benign_03 Case: A-1372-1


A_1372_1.LEFT_MLO

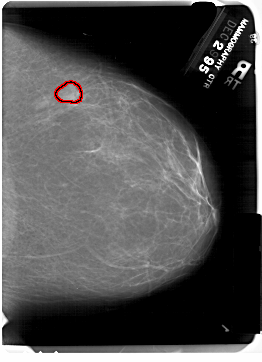
A_1372_1.RIGHT_MLO

A_1372_1.LEFT_CC

A_1372_1.RIGHT_CC

ics_version 1.0
filename A-1372-1
DATE_OF_STUDY 29 12 1995
PATIENT_AGE 33
FILM
FILM_TYPE REGULAR
DENSITY 1
DATE_DIGITIZED 15 6 1998
DIGITIZER HOWTEK 43.5
SEQUENCE
LEFT_CC LINES 6496 PIXELS_PER_LINE 4546 BITS_PER_PIXEL 12 RESOLUTION 43.5 NON_OVERLAY
LEFT_MLO LINES 6871 PIXELS_PER_LINE 5236 BITS_PER_PIXEL 12 RESOLUTION 43.5 NON_OVERLAY
RIGHT_CC LINES 6871 PIXELS_PER_LINE 4966 BITS_PER_PIXEL 12 RESOLUTION 43.5 OVERLAY
RIGHT_MLO LINES 6871 PIXELS_PER_LINE 4891 BITS_PER_PIXEL 12 RESOLUTION 43.5 OVERLAY

FILE: A_1372_1.RIGHT_MLO.OVERLAY

TOTAL_ABNORMALITIES 1
ABNORMALITY 1 
LESION_TYPE MASS SHAPE LOBULATED MARGINS OBSCURED
ASSESSMENT 4 
SUBTLETY 3 
PATHOLOGY BENIGN
TOTAL_OUTLINES 1 
BOUNDARY
FILE: A_1372_1.RIGHT_CC.OVERLAY

TOTAL_ABNORMALITIES 1
ABNORMALITY 1 
LESION_TYPE MASS SHAPE LOBULATED MARGINS OBSCURED
ASSESSMENT 4 
SUBTLETY 3 
PATHOLOGY BENIGN
TOTAL_OUTLINES 1 
BOUNDARY