Digital Database for Screening Mammography

Volume: benign_03 Case: A-1419-1


A_1419_1.LEFT_MLO

A_1419_1.RIGHT_MLO

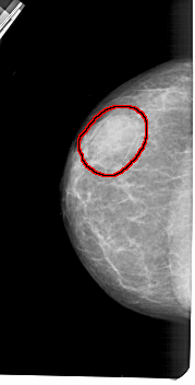
A_1419_1.LEFT_CC

A_1419_1.RIGHT_CC

ics_version 1.0
filename A-1419-1
DATE_OF_STUDY 9 2 1996
PATIENT_AGE 32
FILM
FILM_TYPE REGULAR
DENSITY 4
DATE_DIGITIZED 24 9 1998
DIGITIZER HOWTEK 43.5
SEQUENCE
LEFT_CC LINES 5266 PIXELS_PER_LINE 2671 BITS_PER_PIXEL 12 RESOLUTION 43.5 OVERLAY
LEFT_MLO LINES 5491 PIXELS_PER_LINE 2731 BITS_PER_PIXEL 12 RESOLUTION 43.5 OVERLAY
RIGHT_CC LINES 5251 PIXELS_PER_LINE 2491 BITS_PER_PIXEL 12 RESOLUTION 43.5 NON_OVERLAY
RIGHT_MLO LINES 5491 PIXELS_PER_LINE 2506 BITS_PER_PIXEL 12 RESOLUTION 43.5 NON_OVERLAY

FILE: A_1419_1.LEFT_MLO.OVERLAY

TOTAL_ABNORMALITIES 1
ABNORMALITY 1 
LESION_TYPE MASS SHAPE OVAL MARGINS OBSCURED
ASSESSMENT 4 
SUBTLETY 4 
PATHOLOGY BENIGN
TOTAL_OUTLINES 1 
BOUNDARY
FILE: A_1419_1.LEFT_CC.OVERLAY

TOTAL_ABNORMALITIES 1
ABNORMALITY 1 
LESION_TYPE MASS SHAPE OVAL MARGINS OBSCURED
ASSESSMENT 4 
SUBTLETY 4 
PATHOLOGY BENIGN
TOTAL_OUTLINES 1 
BOUNDARY