Digital Database for Screening Mammography

Volume: benign_03 Case: A-1421-1


A_1421_1.LEFT_MLO

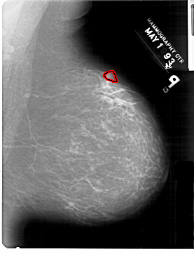
A_1421_1.RIGHT_MLO

A_1421_1.LEFT_CC

A_1421_1.RIGHT_CC

ics_version 1.0
filename A-1421-1
DATE_OF_STUDY 19 5 1993
PATIENT_AGE 45
FILM
FILM_TYPE REGULAR
DENSITY 3
DATE_DIGITIZED 29 9 1998
DIGITIZER HOWTEK 43.5
SEQUENCE
LEFT_CC LINES 6766 PIXELS_PER_LINE 4606 BITS_PER_PIXEL 12 RESOLUTION 43.5 NON_OVERLAY
LEFT_MLO LINES 6871 PIXELS_PER_LINE 5056 BITS_PER_PIXEL 12 RESOLUTION 43.5 NON_OVERLAY
RIGHT_CC LINES 6871 PIXELS_PER_LINE 4621 BITS_PER_PIXEL 12 RESOLUTION 43.5 OVERLAY
RIGHT_MLO LINES 6871 PIXELS_PER_LINE 5251 BITS_PER_PIXEL 12 RESOLUTION 43.5 OVERLAY

FILE: A_1421_1.RIGHT_MLO.OVERLAY

TOTAL_ABNORMALITIES 1
ABNORMALITY 1 
LESION_TYPE MASS SHAPE IRREGULAR MARGINS ILL_DEFINED
ASSESSMENT 4 
SUBTLETY 2 
PATHOLOGY BENIGN
TOTAL_OUTLINES 1 
BOUNDARY
FILE: A_1421_1.RIGHT_CC.OVERLAY

TOTAL_ABNORMALITIES 1
ABNORMALITY 1 
LESION_TYPE MASS SHAPE IRREGULAR MARGINS ILL_DEFINED
ASSESSMENT 4 
SUBTLETY 2 
PATHOLOGY BENIGN
TOTAL_OUTLINES 1 
BOUNDARY