Digital Database for Screening Mammography

Volume: benign_03 Case: A-1423-1


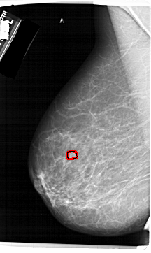
A_1423_1.LEFT_MLO

A_1423_1.RIGHT_MLO

A_1423_1.LEFT_CC

A_1423_1.RIGHT_CC

ics_version 1.0
filename A-1423-1
DATE_OF_STUDY 25 5 1990
PATIENT_AGE 39
FILM
FILM_TYPE REGULAR
DENSITY 2
DATE_DIGITIZED 29 9 1998
DIGITIZER HOWTEK 43.5
SEQUENCE
LEFT_CC LINES 5941 PIXELS_PER_LINE 3496 BITS_PER_PIXEL 12 RESOLUTION 43.5 OVERLAY
LEFT_MLO LINES 6871 PIXELS_PER_LINE 4096 BITS_PER_PIXEL 12 RESOLUTION 43.5 OVERLAY
RIGHT_CC LINES 5896 PIXELS_PER_LINE 3451 BITS_PER_PIXEL 12 RESOLUTION 43.5 NON_OVERLAY
RIGHT_MLO LINES 6136 PIXELS_PER_LINE 3346 BITS_PER_PIXEL 12 RESOLUTION 43.5 NON_OVERLAY

FILE: A_1423_1.LEFT_MLO.OVERLAY

TOTAL_ABNORMALITIES 1
ABNORMALITY 1 
LESION_TYPE MASS SHAPE LOBULATED MARGINS CIRCUMSCRIBED
ASSESSMENT 4 
SUBTLETY 3 
PATHOLOGY BENIGN
TOTAL_OUTLINES 1 
BOUNDARY
FILE: A_1423_1.LEFT_CC.OVERLAY

TOTAL_ABNORMALITIES 1
ABNORMALITY 1 
LESION_TYPE MASS SHAPE LOBULATED MARGINS CIRCUMSCRIBED
ASSESSMENT 4 
SUBTLETY 3 
PATHOLOGY BENIGN
TOTAL_OUTLINES 1 
BOUNDARY