Digital Database for Screening Mammography

Volume: benign_03 Case: A-1427-1


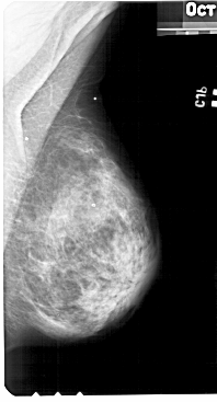
A_1427_1.LEFT_MLO

A_1427_1.RIGHT_MLO

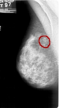
A_1427_1.LEFT_CC

A_1427_1.RIGHT_CC

ics_version 1.0
filename A-1427-1
DATE_OF_STUDY 29 10 1997
PATIENT_AGE 59
FILM
FILM_TYPE REGULAR
DENSITY 3
DATE_DIGITIZED 23 9 1998
DIGITIZER HOWTEK 43.5
SEQUENCE
LEFT_CC LINES 4861 PIXELS_PER_LINE 2791 BITS_PER_PIXEL 12 RESOLUTION 43.5 OVERLAY
LEFT_MLO LINES 5356 PIXELS_PER_LINE 2941 BITS_PER_PIXEL 12 RESOLUTION 43.5 OVERLAY
RIGHT_CC LINES 4666 PIXELS_PER_LINE 2746 BITS_PER_PIXEL 12 RESOLUTION 43.5 NON_OVERLAY
RIGHT_MLO LINES 5491 PIXELS_PER_LINE 2956 BITS_PER_PIXEL 12 RESOLUTION 43.5 NON_OVERLAY

FILE: A_1427_1.LEFT_MLO.OVERLAY

TOTAL_ABNORMALITIES 1
ABNORMALITY 1 
LESION_TYPE CALCIFICATION TYPE AMORPHOUS DISTRIBUTION CLUSTERED
ASSESSMENT 4 
SUBTLETY 3 
PATHOLOGY BENIGN
TOTAL_OUTLINES 1 
BOUNDARY
FILE: A_1427_1.LEFT_CC.OVERLAY

TOTAL_ABNORMALITIES 1
ABNORMALITY 1 
LESION_TYPE CALCIFICATION TYPE AMORPHOUS DISTRIBUTION CLUSTERED
ASSESSMENT 4 
SUBTLETY 3 
PATHOLOGY BENIGN
TOTAL_OUTLINES 1 
BOUNDARY