Digital Database for Screening Mammography

Volume: benign_04 Case: C-0259-1


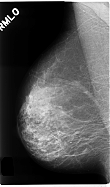
C_0259_1.RIGHT_MLO

C_0259_1.LEFT_MLO

C_0259_1.RIGHT_CC

C_0259_1.LEFT_CC

ics_version 1.0
filename C-0259-1
DATE_OF_STUDY 30 11 1995
PATIENT_AGE 53
FILM
FILM_TYPE REGULAR
DENSITY 2
DATE_DIGITIZED 12 5 1998
DIGITIZER LUMISYS LASER
SEQUENCE
LEFT_CC LINES 4728 PIXELS_PER_LINE 2744 BITS_PER_PIXEL 12 RESOLUTION 50 OVERLAY
LEFT_MLO LINES 4720 PIXELS_PER_LINE 2736 BITS_PER_PIXEL 12 RESOLUTION 50 OVERLAY
RIGHT_CC LINES 4760 PIXELS_PER_LINE 2744 BITS_PER_PIXEL 12 RESOLUTION 50 NON_OVERLAY
RIGHT_MLO LINES 4720 PIXELS_PER_LINE 2784 BITS_PER_PIXEL 12 RESOLUTION 50 NON_OVERLAY

FILE: C_0259_1.LEFT_MLO.OVERLAY

TOTAL_ABNORMALITIES 1
ABNORMALITY 1
LESION_TYPE MASS SHAPE OVAL MARGINS ILL_DEFINED
ASSESSMENT 4
SUBTLETY 3
PATHOLOGY BENIGN
TOTAL_OUTLINES 1 
BOUNDARY
FILE: C_0259_1.LEFT_CC.OVERLAY

TOTAL_ABNORMALITIES 1
ABNORMALITY 1
LESION_TYPE MASS SHAPE OVAL MARGINS CIRCUMSCRIBED
ASSESSMENT 4
SUBTLETY 5
PATHOLOGY BENIGN
TOTAL_OUTLINES 1 
BOUNDARY