Digital Database for Screening Mammography

Volume: benign_04 Case: C-0275-1


C_0275_1.RIGHT_MLO

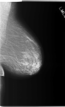
C_0275_1.LEFT_MLO

C_0275_1.RIGHT_CC

C_0275_1.LEFT_CC

ics_version 1.0
filename C-0275-1
DATE_OF_STUDY 16 12 1994
PATIENT_AGE 52
FILM
FILM_TYPE REGULAR
DENSITY 2
DATE_DIGITIZED 21 5 1998
DIGITIZER LUMISYS LASER
SEQUENCE
LEFT_CC LINES 5968 PIXELS_PER_LINE 3576 BITS_PER_PIXEL 12 RESOLUTION 50 NON_OVERLAY
LEFT_MLO LINES 5904 PIXELS_PER_LINE 3616 BITS_PER_PIXEL 12 RESOLUTION 50 NON_OVERLAY
RIGHT_CC LINES 5928 PIXELS_PER_LINE 3664 BITS_PER_PIXEL 12 RESOLUTION 50 NON_OVERLAY
RIGHT_MLO LINES 5944 PIXELS_PER_LINE 3880 BITS_PER_PIXEL 12 RESOLUTION 50 OVERLAY

FILE: C_0275_1.RIGHT_MLO.OVERLAY

TOTAL_ABNORMALITIES 1
ABNORMALITY 1
LESION_TYPE MASS SHAPE OVAL MARGINS ILL_DEFINED
ASSESSMENT 4
SUBTLETY 4
PATHOLOGY BENIGN
TOTAL_OUTLINES 1 
BOUNDARY