Digital Database for Screening Mammography

Volume: benign_04 Case: C-0327-1


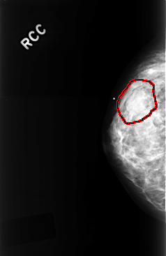
C_0327_1.RIGHT_MLO

C_0327_1.LEFT_MLO

C_0327_1.RIGHT_CC

C_0327_1.LEFT_CC

ics_version 1.0
filename C-0327-1
DATE_OF_STUDY 23 2 1996
PATIENT_AGE 36
FILM
FILM_TYPE REGULAR
DENSITY 3
DATE_DIGITIZED 8 10 1998
DIGITIZER LUMISYS LASER
SEQUENCE
LEFT_CC LINES 4224 PIXELS_PER_LINE 2880 BITS_PER_PIXEL 12 RESOLUTION 50 NON_OVERLAY
LEFT_MLO LINES 4456 PIXELS_PER_LINE 2872 BITS_PER_PIXEL 12 RESOLUTION 50 NON_OVERLAY
RIGHT_CC LINES 4400 PIXELS_PER_LINE 2856 BITS_PER_PIXEL 12 RESOLUTION 50 OVERLAY
RIGHT_MLO LINES 4336 PIXELS_PER_LINE 2808 BITS_PER_PIXEL 12 RESOLUTION 50 OVERLAY

FILE: C_0327_1.RIGHT_MLO.OVERLAY

TOTAL_ABNORMALITIES 1
ABNORMALITY 1
LESION_TYPE MASS SHAPE OVAL MARGINS OBSCURED
ASSESSMENT 3
SUBTLETY 4
PATHOLOGY BENIGN
TOTAL_OUTLINES 1 
BOUNDARY
FILE: C_0327_1.RIGHT_CC.OVERLAY

TOTAL_ABNORMALITIES 1
ABNORMALITY 1
LESION_TYPE MASS SHAPE OVAL MARGINS OBSCURED
ASSESSMENT 3
SUBTLETY 4
PATHOLOGY BENIGN
TOTAL_OUTLINES 1 
BOUNDARY