Digital Database for Screening Mammography

Volume: benign_04 Case: C-0331-1


C_0331_1.RIGHT_MLO

C_0331_1.LEFT_MLO

C_0331_1.RIGHT_CC

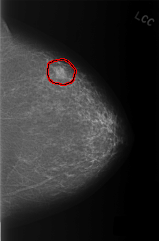
C_0331_1.LEFT_CC

ics_version 1.0
filename C-0331-1
DATE_OF_STUDY 31 7 1996
PATIENT_AGE 36
FILM
FILM_TYPE REGULAR
DENSITY 1
DATE_DIGITIZED 13 10 1998
DIGITIZER LUMISYS LASER
SEQUENCE
LEFT_CC LINES 5616 PIXELS_PER_LINE 3712 BITS_PER_PIXEL 12 RESOLUTION 50 OVERLAY
LEFT_MLO LINES 5504 PIXELS_PER_LINE 3824 BITS_PER_PIXEL 12 RESOLUTION 50 OVERLAY
RIGHT_CC LINES 5648 PIXELS_PER_LINE 4144 BITS_PER_PIXEL 12 RESOLUTION 50 OVERLAY
RIGHT_MLO LINES 5904 PIXELS_PER_LINE 4168 BITS_PER_PIXEL 12 RESOLUTION 50 OVERLAY

FILE: C_0331_1.LEFT_MLO.OVERLAY

TOTAL_ABNORMALITIES 1
ABNORMALITY 1
LESION_TYPE MASS SHAPE LOBULATED MARGINS OBSCURED
ASSESSMENT 3
SUBTLETY 5
PATHOLOGY BENIGN
TOTAL_OUTLINES 1 
BOUNDARY
FILE: C_0331_1.RIGHT_MLO.OVERLAY

TOTAL_ABNORMALITIES 1
ABNORMALITY 1
LESION_TYPE MASS SHAPE OVAL MARGINS CIRCUMSCRIBED
ASSESSMENT 3
SUBTLETY 5
PATHOLOGY BENIGN
TOTAL_OUTLINES 1 
BOUNDARY
FILE: C_0331_1.LEFT_CC.OVERLAY

TOTAL_ABNORMALITIES 1
ABNORMALITY 1
LESION_TYPE MASS SHAPE LOBULATED MARGINS OBSCURED
ASSESSMENT 3
SUBTLETY 5
PATHOLOGY BENIGN
TOTAL_OUTLINES 1 
BOUNDARY
FILE: C_0331_1.RIGHT_CC.OVERLAY

TOTAL_ABNORMALITIES 1
ABNORMALITY 1
LESION_TYPE MASS SHAPE OVAL MARGINS CIRCUMSCRIBED
ASSESSMENT 3
SUBTLETY 5
PATHOLOGY BENIGN
TOTAL_OUTLINES 1 
BOUNDARY