![]() |
![]() |
![]() |
![]() |
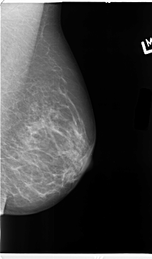
ics_version 1.0 filename B-3101-1 DATE_OF_STUDY 7 11 1996 PATIENT_AGE 48 FILM FILM_TYPE REGULAR DENSITY 3 DATE_DIGITIZED 6 2 1998 DIGITIZER LUMISYS LASER SEQUENCE LEFT_CC LINES 4632 PIXELS_PER_LINE 2632 BITS_PER_PIXEL 12 RESOLUTION 50 NON_OVERLAY LEFT_MLO LINES 4744 PIXELS_PER_LINE 2792 BITS_PER_PIXEL 12 RESOLUTION 50 NON_OVERLAY RIGHT_CC LINES 4720 PIXELS_PER_LINE 2472 BITS_PER_PIXEL 12 RESOLUTION 50 OVERLAY RIGHT_MLO LINES 4696 PIXELS_PER_LINE 2640 BITS_PER_PIXEL 12 RESOLUTION 50 OVERLAY |
FILE: B_3101_1.RIGHT_MLO.OVERLAY TOTAL_ABNORMALITIES 1 ABNORMALITY 1 LESION_TYPE MASS SHAPE IRREGULAR-FOCAL_ASYMMETRIC_DENSITY MARGINS ILL_DEFINED ASSESSMENT 3 SUBTLETY 2 PATHOLOGY BENIGN TOTAL_OUTLINES 1 BOUNDARY |
FILE: B_3101_1.RIGHT_CC.OVERLAY TOTAL_ABNORMALITIES 1 ABNORMALITY 1 LESION_TYPE MASS SHAPE IRREGULAR-FOCAL_ASYMMETRIC_DENSITY MARGINS ILL_DEFINED ASSESSMENT 3 SUBTLETY 4 PATHOLOGY BENIGN TOTAL_OUTLINES 1 BOUNDARY |