Digital Database for Screening Mammography

Volume: benign_04 Case: B-3103-1


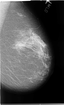
B_3103_1.RIGHT_MLO

B_3103_1.LEFT_MLO

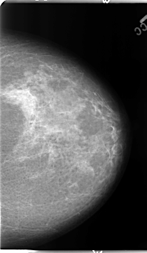
B_3103_1.RIGHT_CC

B_3103_1.LEFT_CC

ics_version 1.0
filename B-3103-1
DATE_OF_STUDY 25 11 1996
PATIENT_AGE 50
FILM
FILM_TYPE REGULAR
DENSITY 2
DATE_DIGITIZED 5 2 1998
DIGITIZER LUMISYS LASER
SEQUENCE
LEFT_CC LINES 4704 PIXELS_PER_LINE 2720 BITS_PER_PIXEL 12 RESOLUTION 50 NON_OVERLAY
LEFT_MLO LINES 4688 PIXELS_PER_LINE 2856 BITS_PER_PIXEL 12 RESOLUTION 50 NON_OVERLAY
RIGHT_CC LINES 4704 PIXELS_PER_LINE 2472 BITS_PER_PIXEL 12 RESOLUTION 50 OVERLAY
RIGHT_MLO LINES 4776 PIXELS_PER_LINE 2680 BITS_PER_PIXEL 12 RESOLUTION 50 OVERLAY

FILE: B_3103_1.RIGHT_MLO.OVERLAY

TOTAL_ABNORMALITIES 1
ABNORMALITY 1
LESION_TYPE MASS SHAPE OVAL MARGINS CIRCUMSCRIBED-ILL_DEFINED
ASSESSMENT 3
SUBTLETY 3
PATHOLOGY BENIGN
TOTAL_OUTLINES 1 
BOUNDARY
FILE: B_3103_1.RIGHT_CC.OVERLAY

TOTAL_ABNORMALITIES 1
ABNORMALITY 1
LESION_TYPE MASS SHAPE OVAL MARGINS CIRCUMSCRIBED-MICROLOBULATED
ASSESSMENT 3
SUBTLETY 4
PATHOLOGY BENIGN
TOTAL_OUTLINES 1 
BOUNDARY