![]() |
![]() |
![]() |
![]() |
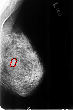
ics_version 1.0 filename B-3357-1 DATE_OF_STUDY 25 7 1995 PATIENT_AGE 55 FILM FILM_TYPE REGULAR DENSITY 3 DATE_DIGITIZED 13 7 1998 DIGITIZER LUMISYS LASER SEQUENCE LEFT_CC LINES 4664 PIXELS_PER_LINE 3096 BITS_PER_PIXEL 12 RESOLUTION 50 OVERLAY LEFT_MLO LINES 4640 PIXELS_PER_LINE 3080 BITS_PER_PIXEL 12 RESOLUTION 50 OVERLAY RIGHT_CC LINES 4608 PIXELS_PER_LINE 3072 BITS_PER_PIXEL 12 RESOLUTION 50 NON_OVERLAY RIGHT_MLO LINES 4624 PIXELS_PER_LINE 3096 BITS_PER_PIXEL 12 RESOLUTION 50 NON_OVERLAY |
FILE: B_3357_1.LEFT_MLO.OVERLAY TOTAL_ABNORMALITIES 1 ABNORMALITY 1 LESION_TYPE MASS SHAPE OVAL MARGINS CIRCUMSCRIBED-OBSCURED ASSESSMENT 4 SUBTLETY 2 PATHOLOGY BENIGN TOTAL_OUTLINES 1 BOUNDARY |
FILE: B_3357_1.LEFT_CC.OVERLAY TOTAL_ABNORMALITIES 1 ABNORMALITY 1 LESION_TYPE MASS SHAPE LOBULATED MARGINS CIRCUMSCRIBED ASSESSMENT 3 SUBTLETY 3 PATHOLOGY BENIGN TOTAL_OUTLINES 1 BOUNDARY |