![]() |
![]() |
![]() |
![]() |
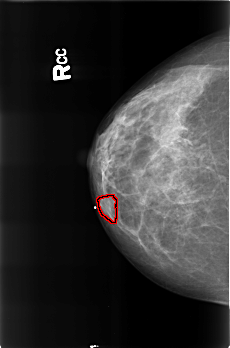
ics_version 1.0 filename B-3360-1 DATE_OF_STUDY 21 11 1997 PATIENT_AGE 34 FILM FILM_TYPE REGULAR DENSITY 2 DATE_DIGITIZED 13 7 1998 DIGITIZER LUMISYS LASER SEQUENCE LEFT_CC LINES 4600 PIXELS_PER_LINE 3008 BITS_PER_PIXEL 12 RESOLUTION 50 NON_OVERLAY LEFT_MLO LINES 4568 PIXELS_PER_LINE 3000 BITS_PER_PIXEL 12 RESOLUTION 50 NON_OVERLAY RIGHT_CC LINES 4512 PIXELS_PER_LINE 2984 BITS_PER_PIXEL 12 RESOLUTION 50 OVERLAY RIGHT_MLO LINES 4584 PIXELS_PER_LINE 3000 BITS_PER_PIXEL 12 RESOLUTION 50 OVERLAY |
FILE: B_3360_1.RIGHT_MLO.OVERLAY TOTAL_ABNORMALITIES 1 ABNORMALITY 1 LESION_TYPE MASS SHAPE LOBULATED MARGINS CIRCUMSCRIBED ASSESSMENT 4 SUBTLETY 3 PATHOLOGY BENIGN TOTAL_OUTLINES 1 BOUNDARY |
FILE: B_3360_1.RIGHT_CC.OVERLAY TOTAL_ABNORMALITIES 1 ABNORMALITY 1 LESION_TYPE MASS SHAPE LOBULATED MARGINS CIRCUMSCRIBED ASSESSMENT 3 SUBTLETY 4 PATHOLOGY BENIGN TOTAL_OUTLINES 1 BOUNDARY |