![]() |
![]() |
![]() |
![]() |
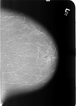
ics_version 1.0 filename B-3365-1 DATE_OF_STUDY 18 11 1997 PATIENT_AGE 41 FILM FILM_TYPE REGULAR DENSITY 1 DATE_DIGITIZED 13 7 1998 DIGITIZER LUMISYS LASER SEQUENCE LEFT_CC LINES 5632 PIXELS_PER_LINE 4032 BITS_PER_PIXEL 12 RESOLUTION 50 NON_OVERLAY LEFT_MLO LINES 5584 PIXELS_PER_LINE 4064 BITS_PER_PIXEL 12 RESOLUTION 50 NON_OVERLAY RIGHT_CC LINES 5744 PIXELS_PER_LINE 4008 BITS_PER_PIXEL 12 RESOLUTION 50 OVERLAY RIGHT_MLO LINES 5760 PIXELS_PER_LINE 4072 BITS_PER_PIXEL 12 RESOLUTION 50 OVERLAY |
FILE: B_3365_1.RIGHT_MLO.OVERLAY TOTAL_ABNORMALITIES 1 ABNORMALITY 1 LESION_TYPE CALCIFICATION TYPE PLEOMORPHIC DISTRIBUTION CLUSTERED LESION_TYPE MASS SHAPE IRREGULAR MARGINS ILL_DEFINED ASSESSMENT 4 SUBTLETY 4 PATHOLOGY BENIGN TOTAL_OUTLINES 1 BOUNDARY |
FILE: B_3365_1.RIGHT_CC.OVERLAY TOTAL_ABNORMALITIES 1 ABNORMALITY 1 LESION_TYPE CALCIFICATION TYPE PLEOMORPHIC DISTRIBUTION CLUSTERED LESION_TYPE MASS SHAPE IRREGULAR MARGINS ILL_DEFINED ASSESSMENT 4 SUBTLETY 4 PATHOLOGY BENIGN TOTAL_OUTLINES 1 BOUNDARY |