Digital Database for Screening Mammography

Volume: benign_05 Case: A-1474-1


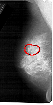
A_1474_1.LEFT_MLO

A_1474_1.RIGHT_MLO

A_1474_1.LEFT_CC

A_1474_1.RIGHT_CC

ics_version 1.0
filename A-1474-1
DATE_OF_STUDY 23 4 1991
PATIENT_AGE 41
FILM
FILM_TYPE REGULAR
DENSITY 4
DATE_DIGITIZED 1 9 1998
DIGITIZER HOWTEK 43.5
SEQUENCE
LEFT_CC LINES 5161 PIXELS_PER_LINE 2326 BITS_PER_PIXEL 12 RESOLUTION 43.5 OVERLAY
LEFT_MLO LINES 5491 PIXELS_PER_LINE 2761 BITS_PER_PIXEL 12 RESOLUTION 43.5 OVERLAY
RIGHT_CC LINES 4381 PIXELS_PER_LINE 2326 BITS_PER_PIXEL 12 RESOLUTION 43.5 NON_OVERLAY
RIGHT_MLO LINES 5326 PIXELS_PER_LINE 2641 BITS_PER_PIXEL 12 RESOLUTION 43.5 NON_OVERLAY

FILE: A_1474_1.LEFT_MLO.OVERLAY

TOTAL_ABNORMALITIES 1
ABNORMALITY 1 
LESION_TYPE CALCIFICATION TYPE PLEOMORPHIC DISTRIBUTION CLUSTERED
ASSESSMENT 4 
SUBTLETY 2 
PATHOLOGY BENIGN
TOTAL_OUTLINES 2 
BOUNDARY
FILE: A_1474_1.LEFT_CC.OVERLAY

TOTAL_ABNORMALITIES 1
ABNORMALITY 1 
LESION_TYPE CALCIFICATION TYPE PLEOMORPHIC DISTRIBUTION CLUSTERED
ASSESSMENT 4 
SUBTLETY 2 
PATHOLOGY BENIGN
TOTAL_OUTLINES 1 
BOUNDARY