Digital Database for Screening Mammography

Volume: benign_05 Case: A-1481-1


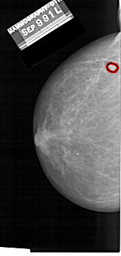
A_1481_1.LEFT_MLO

A_1481_1.RIGHT_MLO

A_1481_1.LEFT_CC

A_1481_1.RIGHT_CC

ics_version 1.0
filename A-1481-1
DATE_OF_STUDY 9 9 1991
PATIENT_AGE 66
FILM
FILM_TYPE REGULAR
DENSITY 2
DATE_DIGITIZED 21 10 1998
DIGITIZER HOWTEK 43.5
SEQUENCE
LEFT_CC LINES 6256 PIXELS_PER_LINE 2956 BITS_PER_PIXEL 12 RESOLUTION 43.5 OVERLAY
LEFT_MLO LINES 6871 PIXELS_PER_LINE 3346 BITS_PER_PIXEL 12 RESOLUTION 43.5 OVERLAY
RIGHT_CC LINES 6046 PIXELS_PER_LINE 3046 BITS_PER_PIXEL 12 RESOLUTION 43.5 NON_OVERLAY
RIGHT_MLO LINES 6646 PIXELS_PER_LINE 3751 BITS_PER_PIXEL 12 RESOLUTION 43.5 NON_OVERLAY

FILE: A_1481_1.LEFT_MLO.OVERLAY

TOTAL_ABNORMALITIES 1
ABNORMALITY 1 
LESION_TYPE MASS SHAPE ROUND MARGINS CIRCUMSCRIBED
ASSESSMENT 3 
SUBTLETY 4 
PATHOLOGY BENIGN
TOTAL_OUTLINES 1 
BOUNDARY
FILE: A_1481_1.LEFT_CC.OVERLAY

TOTAL_ABNORMALITIES 1
ABNORMALITY 1 
LESION_TYPE MASS SHAPE ROUND MARGINS CIRCUMSCRIBED
ASSESSMENT 3 
SUBTLETY 4 
PATHOLOGY BENIGN
TOTAL_OUTLINES 1 
BOUNDARY