ics_version 1.0
filename A-1497-1
DATE_OF_STUDY 26 5 1994
PATIENT_AGE 45
FILM
FILM_TYPE REGULAR
DENSITY 4
DATE_DIGITIZED 3 11 1998
DIGITIZER HOWTEK 43.5
SEQUENCE
LEFT_CC LINES 5056 PIXELS_PER_LINE 1846 BITS_PER_PIXEL 12 RESOLUTION 43.5 NON_OVERLAY
LEFT_MLO LINES 5491 PIXELS_PER_LINE 2266 BITS_PER_PIXEL 12 RESOLUTION 43.5 NON_OVERLAY
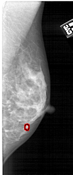
RIGHT_CC LINES 4786 PIXELS_PER_LINE 2101 BITS_PER_PIXEL 12 RESOLUTION 43.5 OVERLAY
RIGHT_MLO LINES 5176 PIXELS_PER_LINE 2161 BITS_PER_PIXEL 12 RESOLUTION 43.5 OVERLAY
|