Digital Database for Screening Mammography

Volume: benign_05 Case: A-1548-1


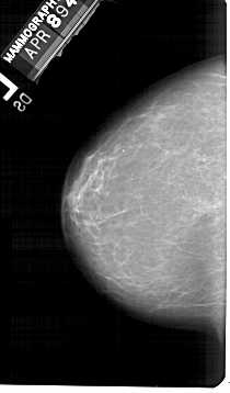
A_1548_1.LEFT_MLO

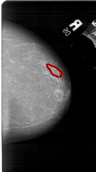
A_1548_1.RIGHT_MLO

A_1548_1.LEFT_CC

A_1548_1.RIGHT_CC

ics_version 1.0
filename A-1548-1
DATE_OF_STUDY 8 4 1994
PATIENT_AGE 52
FILM
FILM_TYPE REGULAR
DENSITY 2
DATE_DIGITIZED 18 11 1998
DIGITIZER HOWTEK 43.5
SEQUENCE
LEFT_CC LINES 5356 PIXELS_PER_LINE 3136 BITS_PER_PIXEL 12 RESOLUTION 43.5 NON_OVERLAY
LEFT_MLO LINES 5491 PIXELS_PER_LINE 3271 BITS_PER_PIXEL 12 RESOLUTION 43.5 NON_OVERLAY
RIGHT_CC LINES 5236 PIXELS_PER_LINE 2926 BITS_PER_PIXEL 12 RESOLUTION 43.5 OVERLAY
RIGHT_MLO LINES 5491 PIXELS_PER_LINE 3061 BITS_PER_PIXEL 12 RESOLUTION 43.5 OVERLAY

FILE: A_1548_1.RIGHT_MLO.OVERLAY

TOTAL_ABNORMALITIES 1
ABNORMALITY 1 
LESION_TYPE CALCIFICATION TYPE PUNCTATE DISTRIBUTION LINEAR
ASSESSMENT 3 
SUBTLETY 1 
PATHOLOGY BENIGN
TOTAL_OUTLINES 1 
BOUNDARY
FILE: A_1548_1.RIGHT_CC.OVERLAY

TOTAL_ABNORMALITIES 1
ABNORMALITY 1 
LESION_TYPE CALCIFICATION TYPE PUNCTATE DISTRIBUTION LINEAR
ASSESSMENT 3 
SUBTLETY 1 
PATHOLOGY BENIGN
TOTAL_OUTLINES 1 
BOUNDARY