Digital Database for Screening Mammography

Volume: benign_06 Case: C-0286-1


C_0286_1.RIGHT_MLO

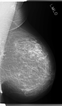
C_0286_1.LEFT_MLO

C_0286_1.RIGHT_CC

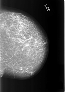
C_0286_1.LEFT_CC

ics_version 1.0
filename C-0286-1
DATE_OF_STUDY 12 9 1995
PATIENT_AGE 38
FILM
FILM_TYPE REGULAR
DENSITY 2
DATE_DIGITIZED 2 6 1998
DIGITIZER LUMISYS LASER
SEQUENCE
LEFT_CC LINES 5760 PIXELS_PER_LINE 4040 BITS_PER_PIXEL 12 RESOLUTION 50 NON_OVERLAY
LEFT_MLO LINES 5960 PIXELS_PER_LINE 3480 BITS_PER_PIXEL 12 RESOLUTION 50 NON_OVERLAY
RIGHT_CC LINES 5904 PIXELS_PER_LINE 3352 BITS_PER_PIXEL 12 RESOLUTION 50 OVERLAY
RIGHT_MLO LINES 5944 PIXELS_PER_LINE 3448 BITS_PER_PIXEL 12 RESOLUTION 50 OVERLAY

FILE: C_0286_1.RIGHT_MLO.OVERLAY

TOTAL_ABNORMALITIES 1
ABNORMALITY 1
LESION_TYPE MASS SHAPE ROUND MARGINS OBSCURED
ASSESSMENT 3
SUBTLETY 4
PATHOLOGY BENIGN
TOTAL_OUTLINES 1 
BOUNDARY
FILE: C_0286_1.RIGHT_CC.OVERLAY

TOTAL_ABNORMALITIES 1
ABNORMALITY 1
LESION_TYPE MASS SHAPE OVAL MARGINS OBSCURED
ASSESSMENT 3
SUBTLETY 4
PATHOLOGY BENIGN
TOTAL_OUTLINES 1 
BOUNDARY