![]() |
![]() |
![]() |
![]() |
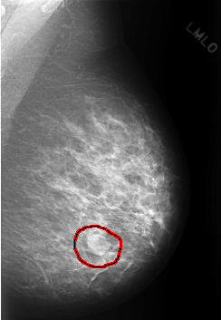
ics_version 1.0 filename C-0318-1 DATE_OF_STUDY 25 7 1995 PATIENT_AGE 55 FILM FILM_TYPE REGULAR DENSITY 2 DATE_DIGITIZED 8 10 1998 DIGITIZER LUMISYS LASER SEQUENCE LEFT_CC LINES 5520 PIXELS_PER_LINE 3928 BITS_PER_PIXEL 12 RESOLUTION 50 OVERLAY LEFT_MLO LINES 5640 PIXELS_PER_LINE 3904 BITS_PER_PIXEL 12 RESOLUTION 50 OVERLAY RIGHT_CC LINES 5360 PIXELS_PER_LINE 3712 BITS_PER_PIXEL 12 RESOLUTION 50 NON_OVERLAY RIGHT_MLO LINES 5440 PIXELS_PER_LINE 3720 BITS_PER_PIXEL 12 RESOLUTION 50 NON_OVERLAY |
FILE: C_0318_1.LEFT_MLO.OVERLAY TOTAL_ABNORMALITIES 1 ABNORMALITY 1 LESION_TYPE MASS SHAPE OVAL MARGINS CIRCUMSCRIBED ASSESSMENT 3 SUBTLETY 5 PATHOLOGY BENIGN TOTAL_OUTLINES 1 BOUNDARY |
FILE: C_0318_1.LEFT_CC.OVERLAY TOTAL_ABNORMALITIES 1 ABNORMALITY 1 LESION_TYPE MASS SHAPE OVAL MARGINS CIRCUMSCRIBED ASSESSMENT 3 SUBTLETY 5 PATHOLOGY BENIGN TOTAL_OUTLINES 1 BOUNDARY |