Digital Database for Screening Mammography

Volume: benign_06 Case: C-0372-1


C_0372_1.RIGHT_MLO

C_0372_1.LEFT_MLO

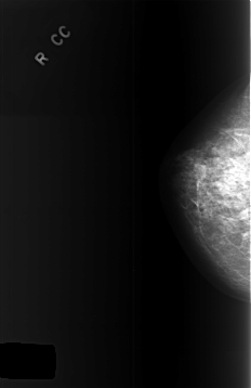
C_0372_1.RIGHT_CC

C_0372_1.LEFT_CC

ics_version 1.0
filename C-0372-1
DATE_OF_STUDY 13 8 1996
PATIENT_AGE 49
FILM
FILM_TYPE REGULAR
DENSITY 3
DATE_DIGITIZED 3 11 1998
DIGITIZER LUMISYS LASER
SEQUENCE
LEFT_CC LINES 5552 PIXELS_PER_LINE 4000 BITS_PER_PIXEL 12 RESOLUTION 50 OVERLAY
LEFT_MLO LINES 5552 PIXELS_PER_LINE 3976 BITS_PER_PIXEL 12 RESOLUTION 50 OVERLAY
RIGHT_CC LINES 5728 PIXELS_PER_LINE 3712 BITS_PER_PIXEL 12 RESOLUTION 50 NON_OVERLAY
RIGHT_MLO LINES 5856 PIXELS_PER_LINE 3736 BITS_PER_PIXEL 12 RESOLUTION 50 OVERLAY

FILE: C_0372_1.LEFT_MLO.OVERLAY

TOTAL_ABNORMALITIES 1
ABNORMALITY 1
LESION_TYPE MASS SHAPE OVAL MARGINS ILL_DEFINED
ASSESSMENT 3
SUBTLETY 3
PATHOLOGY BENIGN
TOTAL_OUTLINES 1 
BOUNDARY
FILE: C_0372_1.RIGHT_MLO.OVERLAY

TOTAL_ABNORMALITIES 1
ABNORMALITY 1
LESION_TYPE MASS SHAPE OVAL MARGINS OBSCURED
ASSESSMENT 3
SUBTLETY 4
PATHOLOGY BENIGN
TOTAL_OUTLINES 1 
BOUNDARY
FILE: C_0372_1.LEFT_CC.OVERLAY

TOTAL_ABNORMALITIES 1
ABNORMALITY 1
LESION_TYPE MASS SHAPE ROUND MARGINS MICROLOBULATED
ASSESSMENT 3
SUBTLETY 4
PATHOLOGY BENIGN
TOTAL_OUTLINES 1 
BOUNDARY