Digital Database for Screening Mammography

Volume: benign_06 Case: C-0385-1


C_0385_1.RIGHT_MLO

C_0385_1.LEFT_MLO

C_0385_1.RIGHT_CC

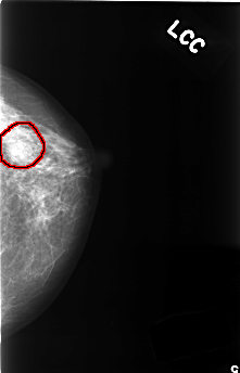
C_0385_1.LEFT_CC

ics_version 1.0
filename C-0385-1
DATE_OF_STUDY 20 5 1996
PATIENT_AGE 40
FILM
FILM_TYPE REGULAR
DENSITY 2
DATE_DIGITIZED 9 11 1998
DIGITIZER LUMISYS LASER
SEQUENCE
LEFT_CC LINES 4464 PIXELS_PER_LINE 2872 BITS_PER_PIXEL 12 RESOLUTION 50 OVERLAY
LEFT_MLO LINES 4432 PIXELS_PER_LINE 2856 BITS_PER_PIXEL 12 RESOLUTION 50 OVERLAY
RIGHT_CC LINES 4560 PIXELS_PER_LINE 2776 BITS_PER_PIXEL 12 RESOLUTION 50 NON_OVERLAY
RIGHT_MLO LINES 4576 PIXELS_PER_LINE 2808 BITS_PER_PIXEL 12 RESOLUTION 50 NON_OVERLAY

FILE: C_0385_1.LEFT_MLO.OVERLAY

TOTAL_ABNORMALITIES 1
ABNORMALITY 1
LESION_TYPE MASS SHAPE OVAL MARGINS ILL_DEFINED
ASSESSMENT 4
SUBTLETY 4
PATHOLOGY BENIGN
TOTAL_OUTLINES 1 
BOUNDARY
FILE: C_0385_1.LEFT_CC.OVERLAY

TOTAL_ABNORMALITIES 1
ABNORMALITY 1
LESION_TYPE MASS SHAPE OVAL MARGINS OBSCURED
ASSESSMENT 4
SUBTLETY 4
PATHOLOGY BENIGN
TOTAL_OUTLINES 1 
BOUNDARY