Digital Database for Screening Mammography

Volume: benign_06 Case: C-0392-1


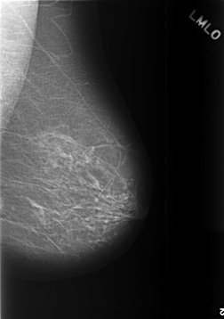
C_0392_1.RIGHT_MLO

C_0392_1.LEFT_MLO

C_0392_1.RIGHT_CC

C_0392_1.LEFT_CC

ics_version 1.0
filename C-0392-1
DATE_OF_STUDY 19 8 1996
PATIENT_AGE 77
FILM
FILM_TYPE REGULAR
DENSITY 1
DATE_DIGITIZED 10 11 1998
DIGITIZER LUMISYS LASER
SEQUENCE
LEFT_CC LINES 5640 PIXELS_PER_LINE 4032 BITS_PER_PIXEL 12 RESOLUTION 50 NON_OVERLAY
LEFT_MLO LINES 5728 PIXELS_PER_LINE 4024 BITS_PER_PIXEL 12 RESOLUTION 50 NON_OVERLAY
RIGHT_CC LINES 5744 PIXELS_PER_LINE 4072 BITS_PER_PIXEL 12 RESOLUTION 50 OVERLAY
RIGHT_MLO LINES 5744 PIXELS_PER_LINE 3992 BITS_PER_PIXEL 12 RESOLUTION 50 OVERLAY

FILE: C_0392_1.RIGHT_MLO.OVERLAY

TOTAL_ABNORMALITIES 1
ABNORMALITY 1
LESION_TYPE CALCIFICATION TYPE PLEOMORPHIC DISTRIBUTION SEGMENTAL
ASSESSMENT 4
SUBTLETY 5
PATHOLOGY BENIGN
TOTAL_OUTLINES 1 
BOUNDARY
FILE: C_0392_1.RIGHT_CC.OVERLAY

TOTAL_ABNORMALITIES 1
ABNORMALITY 1
LESION_TYPE CALCIFICATION TYPE PLEOMORPHIC DISTRIBUTION SEGMENTAL
ASSESSMENT 4
SUBTLETY 5
PATHOLOGY BENIGN
TOTAL_OUTLINES 1 
BOUNDARY