Digital Database for Screening Mammography

Volume: benign_06 Case: C-0412-1


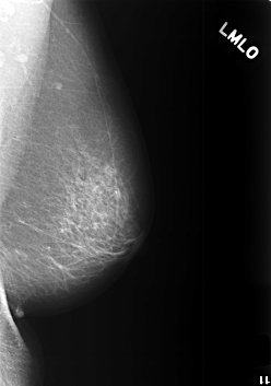
C_0412_1.RIGHT_MLO

C_0412_1.LEFT_MLO

C_0412_1.RIGHT_CC

C_0412_1.LEFT_CC

ics_version 1.0
filename C-0412-1
DATE_OF_STUDY 28 5 1996
PATIENT_AGE 72
FILM
FILM_TYPE REGULAR
DENSITY 2
DATE_DIGITIZED 12 11 1998
DIGITIZER LUMISYS LASER
SEQUENCE
LEFT_CC LINES 5512 PIXELS_PER_LINE 3960 BITS_PER_PIXEL 12 RESOLUTION 50 NON_OVERLAY
LEFT_MLO LINES 5640 PIXELS_PER_LINE 3960 BITS_PER_PIXEL 12 RESOLUTION 50 NON_OVERLAY
RIGHT_CC LINES 5696 PIXELS_PER_LINE 3952 BITS_PER_PIXEL 12 RESOLUTION 50 OVERLAY
RIGHT_MLO LINES 5720 PIXELS_PER_LINE 3952 BITS_PER_PIXEL 12 RESOLUTION 50 OVERLAY

FILE: C_0412_1.RIGHT_MLO.OVERLAY

TOTAL_ABNORMALITIES 1
ABNORMALITY 1
LESION_TYPE CALCIFICATION TYPE PLEOMORPHIC DISTRIBUTION CLUSTERED
ASSESSMENT 3
SUBTLETY 3
PATHOLOGY BENIGN
TOTAL_OUTLINES 1 
BOUNDARY
FILE: C_0412_1.RIGHT_CC.OVERLAY

TOTAL_ABNORMALITIES 1
ABNORMALITY 1
LESION_TYPE CALCIFICATION TYPE PLEOMORPHIC DISTRIBUTION CLUSTERED
ASSESSMENT 3
SUBTLETY 3
PATHOLOGY BENIGN
TOTAL_OUTLINES 1 
BOUNDARY