![]() |
![]() |
![]() |
![]() |
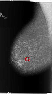
ics_version 1.0 filename B-3362-1 DATE_OF_STUDY 14 8 1997 PATIENT_AGE 77 FILM FILM_TYPE REGULAR DENSITY 2 DATE_DIGITIZED 4 6 1998 DIGITIZER LUMISYS LASER SEQUENCE LEFT_CC LINES 5936 PIXELS_PER_LINE 3304 BITS_PER_PIXEL 12 RESOLUTION 50 NON_OVERLAY LEFT_MLO LINES 5888 PIXELS_PER_LINE 3528 BITS_PER_PIXEL 12 RESOLUTION 50 NON_OVERLAY RIGHT_CC LINES 5896 PIXELS_PER_LINE 3040 BITS_PER_PIXEL 12 RESOLUTION 50 OVERLAY RIGHT_MLO LINES 5896 PIXELS_PER_LINE 3312 BITS_PER_PIXEL 12 RESOLUTION 50 OVERLAY |
FILE: B_3362_1.RIGHT_MLO.OVERLAY TOTAL_ABNORMALITIES 1 ABNORMALITY 1 LESION_TYPE CALCIFICATION TYPE PUNCTATE-PLEOMORPHIC DISTRIBUTION CLUSTERED LESION_TYPE MASS SHAPE ROUND MARGINS CIRCUMSCRIBED-ILL_DEFINED ASSESSMENT 3 SUBTLETY 3 PATHOLOGY BENIGN TOTAL_OUTLINES 1 BOUNDARY |
FILE: B_3362_1.RIGHT_CC.OVERLAY TOTAL_ABNORMALITIES 1 ABNORMALITY 1 LESION_TYPE CALCIFICATION TYPE ROUND_AND_REGULAR DISTRIBUTION CLUSTERED LESION_TYPE MASS SHAPE IRREGULAR MARGINS MICROLOBULATED-ILL_DEFINED ASSESSMENT 3 SUBTLETY 3 PATHOLOGY BENIGN TOTAL_OUTLINES 1 BOUNDARY |